日本顕微鏡歯科学会 認定医
100%拡大視野治療
「米国式」の根管治療
顕微鏡歯科の
プロフェッショナルが
担当します

成功率96.1%
ほぼ再発しません

根管治療は「最初」が肝心です。
- 「歯内療法」の専門家が担当
- 「マイクロスコープ」による精密治療
- 「ラバーダム」で再感染防止
〜セカンドオピニオンにも対応しています〜




















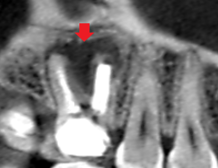
実際に「根管」の画像をご覧頂きましょう。歯の中にある黒い筋が根管です。





















| 1987年 | 昭和大学歯学部 卒業 |
|---|---|
| 2001年 | 岡野歯科医院 医院長就任 |





当院では、できるだけ患者さんが抱えていらっしゃるお口のお悩みや疑問・不安などをお聞きするよう努めています。
下記からお問い合わせください。
