
日本顕微鏡歯科学会認定医
よく受けるご要望
- 根管治療
- 再発しない治療
- 歯を抜きたくない
- 長持ちする治療
- 重度の歯周病


歯を残す治療の成功率※
※根管治療の場合


日本顕微鏡歯科学会認定医
よく受けるご要望

私たちにしかできない治療がある。
自費診療専門 歯を残す治療「専門」の歯医者です。 他院で匙を投げられた歯でも守り抜く。
98.7%
これは当院の根管治療の成功率。
その他、下記の治療も高い成功率を誇ります。
なぜ、通常の3倍以上の成功率を誇るのか。
それは、保険治療では対応できない、
機材、材料、十分な時間の確保の他、
すべての治療で
歯科用顕微鏡(マイクロスコープ)を
活用しているため。
セカンドオピニオンにも対応していますので、
まずはご相談ください。
INFORMATION

すべての治療で肉眼の20倍以上も視野を拡大できる
歯科用顕微鏡(マイクロスコープ)を利用する治療のこと。
経験や感覚などの不確実な状態で行ってきた治療を、
「可視化」できることで、次のことを達成できます。
成功率が
3倍に上昇
再発率が
格段に減少
抜歯を
回避できる
歯科用顕微鏡利用するだけでは、成功率は高まりません。 大切なのは、どのように利用するか。以下、重要ポイントです。


患者さんのニーズが高い顕微鏡歯科治療のご紹介
神奈川県川崎市中原区/武蔵小杉駅1分の歯医者です。根管治療や歯髄温存、歯周病、破折歯など、歯を残す治療を専門に行っています。患者さんから評価の高い、マイクロスコープ活用の歯科治療をご紹介。


他院で抜髄(歯の神経を取る)
と言われたケースでも
団髄法やMTA活用で可能な
限り神経を残します。

歯科用顕微鏡を利用すること
で、外科処置なしで
治療が可能。また外科を行わ
ない再生療法にも対応。

他院で歯が割れているので抜
歯と言われた場合でも、
割れていないケースも多くあり、
その場合は歯を残せます。


歯を失った場合、インプラント
や入れ歯などではなく、
ご自身の健康な歯(親知らず)
を移植する治療にも対応。

難症例(難しいケース)と言われる
歯でも、数多く対応してきました。 次のお悩みをお持ちの方はご相談ください。


■根管治療
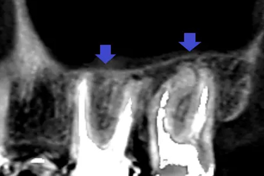
歯の根に膿がたまり他院で抜歯宣告をされた歯。最終的に抜歯せずに治療ができたケース。


■根管治療
過去の根管治療が再発し再感染したケース。当院で再根管治療を実施し、歯を残した。


■歯周病の再生療法
歯周病が原因であごの骨が溶けてしまい歯がグラグラしていたケース。
再生療法で骨を再生させ抜歯せずに治療できた。


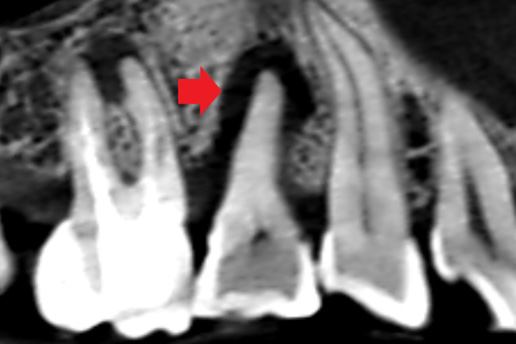
■破折歯
他院で歯が割れているため抜歯と言われたケース。当院で診断したところ破折ではないことが判明し、適切な処置で抜歯せず歯を再生させた。


■歯の移植
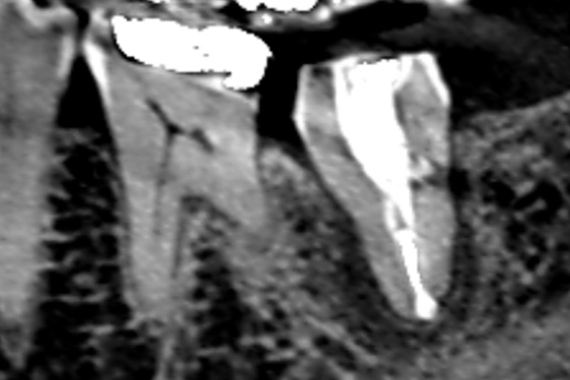
歯根が割れてしまい、どうしても抜歯が必要なケース。
対象の歯を抜歯し、親知らずを移植した。


■精密な虫歯治療
詰め物の中が虫歯になっていた。セラミック素材で再治療を行ったケース。

顕微鏡歯科歴20年。この経験値を皆様に

■略歴
1987年 昭和大学歯学部 卒業
2001年 岡野歯科医院 医院長就任
■所属
日本歯内療法学会会員
日本顕微鏡歯科学会会員
日本顕微鏡歯科学会認定医









高評価の4つの取り組み01

顕微鏡×記録
患者さんの納得100%
治療のすべては録画し、どのような状態になっているのか、どのような治療を行ったのかをその場でお見せしています。

02

集中×成功率
一人一人に全精力を傾ける
成功率を高めるため、1日の患者さんの数を制限しています。すべては、患者さんの大切な歯を守るため。

03

原因×再発防止
その場限りの治療はしません
根本的な問題を改善しなければ、いずれ再発します。そして、最終的には抜歯に近づきます。問題の原因を早期に発見し、再発させない原因療法を実施。

04

短期×完結
最短距離で結果を出す
1回の治療時間をしっかり確保することで、複数回の来院が必要な治療も1回の来院で実施することができます。



神奈川県川崎市の武蔵小杉駅1分の歯医者、岡野歯科医院。当医院で行っているマイクロスコープ(歯科用顕微鏡)を用いた歯科治療(根管治療・歯周病治療・虫歯治療)は、通常の保険内の歯科治療とは、その精密さや、成功率において全く違う治療とお考え下さい。
最近では、歯科用顕微鏡を導入した医院も増え、一部保険内で顕微鏡治療を行っている医院もあるかもしれませんが、実際は低倍率のまま治療をしているところも少なくありません。当医院では、しかるべき材料を使い、高倍率で患部を視認し、しっかりと時間をかけて高精度の根管治療、被せ物治療を行っています。結果、長い目でみたときにインプラント、義歯(入れ歯)にならないよう、口腔環境を改善・維持することが可能になるのです。すべては、再発を防ぎ、患者さんがこれから先、末永くご自身の歯を使っていただくための治療です。