日本顕微鏡歯科学会 認定医
100%拡大視野治療
治りの早い、身体に優しい
マイクロスコープ
歯周再生療法

- 歯が揺れていても治療可能
- 「切らない」ので、治りが早い
- 局所麻酔で「痛くない」
- 歯石の「取り残し」が少ない
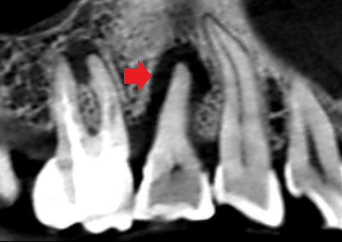
マイクロスコープ歯周再生療法を行ったケース。歯の周囲の骨が回復している。
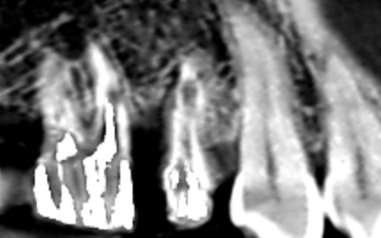
マイクロスコープ歯周再生療法を行ったケース。歯の周囲の骨が回復している。







このページをご覧になっている方の多くは、次のようなお悩みをお持ちではないでしょうか。
とはいえ、歯周病は、日本人が歯を失う原因の第1位となっています。冒頭にも書いたとおり、令和4年の調査では、全体の47.9%に初期の歯周病の症状が見られたそうです。
治療も予防もできる病気なら、どうしてこんなことになってしまったのでしょう。





噛み合わせの検査を行い、歯にかかる力のバランスを確認します。一部の歯に強い力が集中すると、歯ぐきや骨に負担がかかり、炎症が悪化することがあります。










| 1987年 | 昭和大学歯学部 卒業 |
|---|---|
| 2001年 | 岡野歯科医院 医院長就任 |


当院では、できるだけ患者さんが抱えていらっしゃるお口のお悩みや疑問・不安などをお聞きするよう努めています。
下記からお問い合わせください。
