Vol.29 根の先と根の分岐部の両方に膿がみられたケース
- 2025年10月10日
- パーフォレーションリペア・ 上顎第一大臼歯・ 低侵襲歯科治療・ 再根管治療・ 根分岐部病変
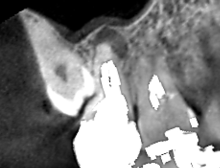
上顎第一大臼歯の根の先と根の分岐部の両方に膿がみられたケースです。他の歯の根管治療でCTを撮影し…
続きを読むVol.27 症状が無くても膿があることが多い!実は、根管治療の失敗の多くは自覚が無いのです。
- 2025年09月26日
- 上顎第二大臼歯・ 根管治療失敗例・ 歯槽骨再生・ 無症状でも膿・ 精密根管治療の重要性
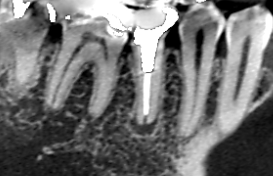
治療中に他の歯に膿が見つかったケースです。他の歯の治療のためにCTを撮影したところ、上顎第二大臼…
続きを読むVol.21 根管治療を成功させるためにはラバーダム防湿が必須。根管治療によって抜歯が回避できたケース
- 2025年09月11日
- マイクロスコープ歯科・ ラバーダム防湿・ 抜歯回避・ 根管治療症例・ 精密根管治療
上顎側切歯の根管治療をしても膿が治らず、抜歯を宣告されて当医院に来院されました。根の先にある膿は…
続きを読むVol.20 上顎洞内の炎症が根管治療で改善したケース
- 2025年09月11日
- 上顎洞炎と歯の関係・ 副鼻腔炎が治らない時は歯が原因かも・ 抜歯を避ける治療・ 歯の膿と鼻の病気・ 精密根管治療
他医院で詰め物をした歯が痛くなったということで当医院にいらした患者さんです。上顎第一大臼歯の詰め…
続きを読むVol.19 歯根破折を思わせるほど膿の影が大きくても、歯根破折しておらず根管治療で治ったケース
- 2025年09月11日
- 抜歯を避ける・ 歯を残す選択・ 歯根破折じゃなかった・ 精密根管治療・ 膿でも歯を残せる
抜歯をしたくないとのことで、当医院に来院された患者さんです。CT画像で確認したところ、上顎第一大…
続きを読むVol.16 歯の神経は生きているのに根尖病変様の歯槽骨吸収があったケース
- 2025年09月09日
- むし歯治療・ パーフォレーションリペア・ 根尖病変・ 歯科症例・ 精密根管治療
上顎の奥歯の歯茎が腫れ、できるだけ自分の歯を残したいということで来院された患者さんです。初診時のCT…
続きを読むVol.11 専門によって治療方針が変わる。再根管治療で抜歯せずに済んだケース。
- 2025年08月20日
- マイクロスコープ歯科・ 再根管治療・ 抜歯回避・ 歯科症例・ 精密根管治療
右下の奥歯が痛くなり、右下の第一大臼歯と第二大臼歯に膿が見つかり口腔外科で2本の抜歯をすすめられた患…
続きを読む12































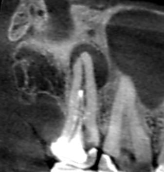
上顎第一大臼歯の近心根に膿がみられました。実は、Vol.37、Vol.38、Vol.39は同じ患者さ…
続きを読む