上顎の奥歯の歯茎が腫れ、できるだけ自分の歯を残したいということで来院された患者さんです。初診時のCT画像では、第二小臼歯と第一大臼歯の根の先に根尖病変と思われる影がみられました。第一大臼歯は、根管治療不足の他にメタルコアによる根管壁穿孔(パーフォレーション)がみられました。第二小臼歯は、詰め物が不適合でむし歯の再発がみられましたが痛みも特になく、検査したところ歯髄には生活反応がみられ、根の先にみられた影は歯髄が壊死したことによる膿ではなく、むし歯による歯髄の炎症反応が根の外にまで波及し歯槽骨の吸収が起きていることが考えられました。
第一大臼歯は、精密再根管治療とパーフォレーションリペアを行い、第二小臼歯は歯の神経の治療はせず、むし歯の再治療のみを行いました。
1年の経過観察後、第二小臼歯、第一大臼歯共に根の先にできていた影の消失が確認できました。
初診時の矢状断のCT画像です。
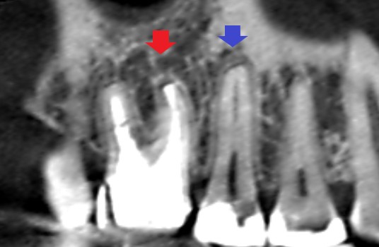
初診時の第一大臼歯の冠状断のCT画像です。
矢印の先に影がみられます。赤い矢印の先にある影は、第一大臼歯の根の先にできている膿です。青い矢印の先にある影は、第二小臼歯にできていたむし歯の影響で、歯髄の炎症が根の外まで波及して歯槽骨の吸収が起こっていることが考えられました。
第一大臼歯の冠状断CT画像の赤い矢印の先の膿は、青い矢印の先で起きているメタルコアによる根管壁穿孔(パーフォレーション)によるものと考えられます。
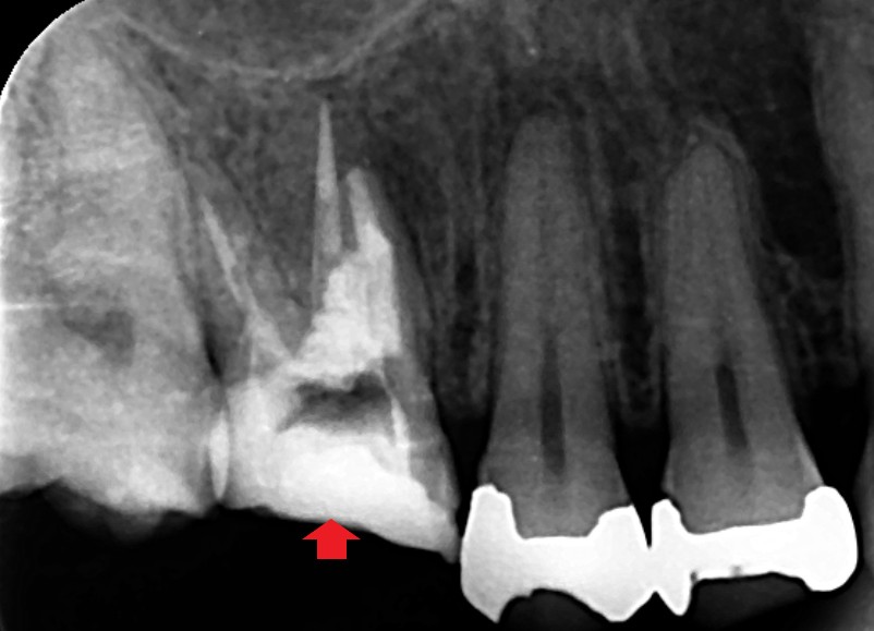
第一大臼歯のみ精密再根管治療とパーフォレーションリペアを行い、第二小臼歯は根管治療を行わず精密むし歯治療のみをすることにしました。レントゲン画像は、根管充填とパーフォレーションリペア時の画像です。
第一大臼歯の精密再根管治療と第二小臼歯の精密むし歯治療1年後の矢状断のCT画像です。赤い矢印の先に見えていた第一大臼歯の膿の影が消えています。また、青い矢印の先に見えていた第二小臼歯の根の先の影も消えています。
第一大臼歯の精密再根管治療1年後の冠状断のCT画像です。赤い矢印の先が、パーフォレーションリペアをしたところです。赤い矢印の先にあった膿の影が消え歯槽骨が再生しています。
第一大臼歯は精密再根管治療により抜歯を免れましたが、第二小臼歯も根管治療をしなくて済みました。根の先に影がみられたとしても根尖病変とは限らない可能性があります。痛みもなく、歯髄の生活反応が認められた場合は、歯の神経を取らずにまず、むし歯治療をしてみた方が良いということが分かるケースでした。
《主な副作用》
ラバーダム防湿が必要になり、開口時間が長くなります。歯科用顕微鏡による精密根管治療は、肉眼や拡大鏡では見えないところ(治療が不十分であった部分)が見えるようになるため、なすべき治療が増えるので治療時間や治療日数がかかります。
《治療期間》
おおよそ、3~5日(1回1時間の目算です。)
《治療費》
根管治療費(消費税込み):前歯132,000円、小臼歯154,000円、大臼歯 176,000円 (根管治療費以外に別途、被せ物・土台除去、隔壁作成の費用がかかることがあります。詳細は、お問い合わせください。)








