主訴は他の歯だったのですが、CTで左上の犬歯と第一小臼歯の根の先に膿が偶然確認されたケースです。痛みや歯茎の腫れもなく、ご自身も膿の存在に気づかれていませんでした。膿の影は、犬歯と第一小臼歯の両方の根の先にみられ、繋がっているようでした。犬歯は、検査したところ神経の生活反応はなく神経が死んでいる可能性がありました。犬歯には、神経が壊死してしまう原因として考えられるむし歯や詰め物もされておらず、歯の神経に達するようなヒビもみられませんでした。
第一小臼歯は神経の治療がされており、第一小臼歯の根管治療の失敗が原因で膿ができ、その膿が大きくなって隣の犬歯の根まで達し、それが原因で犬歯の神経が壊死した可能性があることが考えられました。
膿を治すには、犬歯と第一小臼歯の両方の根管治療が必要と判断しました。そして、根管治療時に、犬歯の神経は壊死していることを実際に確認しました。
根管治療の経過観察後、犬歯と第一小臼歯の根の先にあった膿の改善を確認しました。
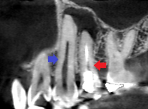
左上の犬歯と第一小臼歯のCT画像です。赤い矢印の先に、犬歯と第一小臼歯の両方の根の先にかかる大きな膿の影がみられます。
青い矢印の先が犬歯です。赤い矢印の先が、第一大臼歯です。犬歯には、膿の原因になりそうなむし歯や詰め物もされておらず、歯の神経に達するようなヒビもみられません。隣の第一大臼歯の膿が原因で犬歯の神経が壊死してしまったことが考えられました。
上は、当医院での根管治療後のレントゲン画像です。犬歯と第一小臼歯の両方の精密根管治療を行いました。特に第一小臼歯の根管は細く、根管が長い距離石灰化していたので歯科用顕微鏡で視認しながら石灰化を除去し、根管充填しました。
根管治療6ヶ月後のCT画像です。犬歯と第一小臼歯の根の先のできていた膿が消失し、歯槽骨が再生しています。
痛みや歯茎の腫れが無くても膿が存在し、更に自覚症状もなく顎の中で拡大し、隣の歯の神経が死んでしまうこともあります。膿が見つかったら、隣の歯に影響が出る前に早く根管治療をすることをお勧めします。
《主な副作用》
ラバーダム防湿が必要になり、開口時間が長くなります。歯科用顕微鏡による精密根管治療は、肉眼や拡大鏡では見えないところ(治療が不十分であった部分)が見えるようになるため、なすべき治療が増えるので治療時間や治療日数がかかります。
《治療期間》
おおよそ、3~5日(1回1時間の目算です。)
《治療費》
根管治療費(消費税込み):前歯132,000円、小臼歯154,000円、大臼歯 176,000円 (根管治療費以外に別途、被せ物・土台除去、隔壁作成の費用がかかることがあります。詳細は、お問い合わせください。)








