口腔外科にて、第二大臼歯と埋伏している第三大臼歯(親知らず)を抜歯すると言われて当医院にセカンドオピニオンで来院された患者さんのケースです。
CT画像で確認したところ、第二大臼歯の根の先に大きな膿がみられました。膿は、歯茎の中に埋まっている親知らずに達するほどの大きな膿でした。通常、根の先に膿がある場合は、根管治療が事前にされているか、むし歯や歯に破折がみられることが多いのですが、膿がある第二大臼歯は、根管治療されておらず、むし歯や破折もありませんでした。また、まれに歯列矯正治療が原因と考えられるケースもありますが、矯正治療の既往もありませんでした。
歯の神経が何らかの原因で壊死してしまったことにより膿ができているのですが、神経が壊死した原因はわかりませんでした。今回のケースのように、膿の原因が不明なこともあります。
膿の改善を図るべく、歯科用顕微鏡を用いて精密根管治療を行いました。その結果、親知らずに達する大きな膿も消失し、第二大臼歯と埋伏している第三大臼歯の抜歯をせずに済みました。
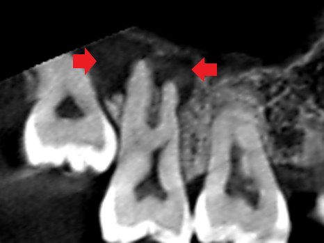
初診時の矢状断のCT画像です。
赤い矢印の先に黒い膿の影がみられ、膿は大きく埋伏している第三大臼歯(親知らず)に達しています。
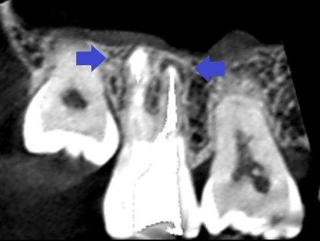
初診時の冠状断のCT画像です。
赤い矢印の先に膿の黒い影がみられます。膿は大きく、第二大臼歯にある3本の根の全てを覆っていました。
当医院での根管治療後のレントゲン画像です。
治療にはCTと歯科用顕微鏡を使った精密根管治療を行い、根管の先端まで根管充填できていることがわかります。
精密根管治療2年後の患部の矢状断のCT画像です。第三大臼歯に達していた大きな膿が消失し歯槽骨が再生しています。
精密根管治療2年後の患部の冠状断のCT画像です。根の先を覆っていた全ての膿が消失し歯槽骨が再生しています。
大きな膿でしたが、精密根管治療により第二大臼歯と埋伏している第三大臼歯(親知らず)の抜歯を免れることができました。
《主な副作用》
ラバーダム防湿が必要になり、開口時間が長くなります。歯科用顕微鏡による精密根管治療は、肉眼や拡大鏡では見えないところ(治療が不十分であった部分)が見えるようになるため、なすべき治療が増えるので治療時間や治療日数がかかります。
《治療期間》
おおよそ、3~5日(1回1時間の目算です。)
《治療費》
根管治療費(消費税込み):前歯132,000円、小臼歯154,000円、大臼歯 176,000円 (根管治療費以外に別途、被せ物・土台除去、隔壁作成の費用がかかることがあります。詳細は、お問い合わせください。)








