右下の奥歯が痛くなり、右下の第一大臼歯と第二大臼歯に膿が見つかり口腔外科で2本の抜歯をすすめられた患者さんです。抜歯前に当医院に来院され、根管治療に不足がみられたため精密再根管治療を行うことになりました。
CT画像と歯科用顕微鏡で未治療の根管が見つかり、根管を隅々まで清掃するよう心がけました。精密再根管治療6ヶ月後、2本共に膿の消失を認め抜歯を免れることができました。
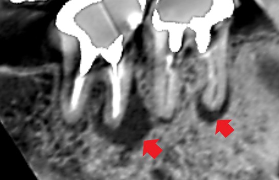
右下の第一大臼歯と第二大臼歯の初診時のCT画像です。
第一大臼歯と第二大臼歯それぞれの根の先に膿の影がみられます。口腔外科では抜歯の診断でしたが、精密再根管治療により改善する可能性もあると診断しました。
第一大臼歯と第二大臼歯の精密再根管治療後の画像です。根尖までしっかりMTAセメントで根管充填できています。
精密再根管治療6ヶ月後のCT画像です。
根の先にできていた膿の影が消失しています。
根管治療の不備でできている膿の治療は医院によって方針が変わる可能性があります。抜歯と診断されても、根管治療の得意な医院に相談することをお勧めします。
《主な副作用》
ラバーダム防湿が必要になり、開口時間が長くなります。歯科用顕微鏡による精密根管治療は、肉眼や拡大鏡では見えないところ(治療が不十分であった部分)が見えるようになるため、なすべき治療が増えるので治療時間や治療日数がかかります。
《治療期間》
おおよそ、3~5日(1回1時間の目算です。)
《治療費》
根管治療費(消費税込み):前歯132,000円、小臼歯154,000円、大臼歯 176,000円 (根管治療費以外に別途、被せ物・土台除去、隔壁作成の費用がかかることがあります。詳細は、お問い合わせください。)








