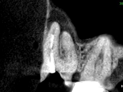
上顎第二大臼歯の根管治療がうまくいっておらず、根の先に膿ができていました。膿は上顎洞に隣接し歯性上顎洞炎(副鼻腔炎)を起こしてもおかしくないケースです。
精密再根管治療により根の先にできていた膿は消失し、歯性上顎洞炎に至らずに済みました。
初診時のCT画像です。根管治療不足で根管充填が根の先まで足りていません。
矢印の先が根の先にできている膿です。膿は上顎洞という副鼻腔に接しています。ここから上顎洞に炎症が波及したり、膿が上顎洞にあふれ出てもおかしくない状態です。
精密再根管治療を行い、根管充填が完了しました。
精密再根管治療完了6ヶ月後のCT画像です。
根の先にあった膿が消えています。ここから、精密被せ物治療に入ることができるようになりました。
精密再根管治療により根の先にできていた膿が改善し、上顎洞への炎症の波及も防ぐことができました。
《主な副作用》
ラバーダム防湿が必要になり、開口時間が長くなります。歯科用顕微鏡による精密根管治療は、肉眼や拡大鏡では見えないところ(治療が不十分であった部分)が見えるようになるため、なすべき治療が増えるので治療時間や治療日数がかかります。
《治療期間》
おおよそ、3~5日(1回1時間の目算です。)
《治療費》
根管治療費(消費税込み):前歯132,000円、小臼歯154,000円、大臼歯 176,000円 (根管治療費以外に別途、被せ物・土台除去、隔壁作成の費用がかかることがあります。詳細は、お問い合わせください。)








