上顎の第二大臼歯の歯肉が腫れ、根管治療中に抜歯を宣告され当医院にいらした患者さんです。上顎の第一大臼歯と第二大臼歯の根の先に膿の影がCT画像でみられました。特に第二大臼歯は歯冠大の大きな根尖病変が存在しています。
第一大臼歯と第二大臼歯の根の先にみられる膿の影の中には白い像がみられ、根管充填時に根管からあふれ出た根管充填材の可能性が高く、その根管充填材を足掛かりにして細菌が繁殖し、根管治療をしても治らなくなっている可能性もあります。
第一大臼歯と第二大臼歯共に精密根管治療を行いました。第一大臼歯は根管治療で膿の縮小が確認できましたが、第二大臼歯は縮小しなかったため、外科手術により膿の改善を図りました。
 
初診時のCT画像です。左端の歯が第二大臼歯、左から二番目の歯が第一大臼歯です。
 
赤い矢印の先に大きな膿の影がみられます。膿の中には白い根管充填材らしい物質(青い矢印の先)の存在が確認されます。根管充填材を足掛かりにして細菌が繁殖している可能性があります。
 
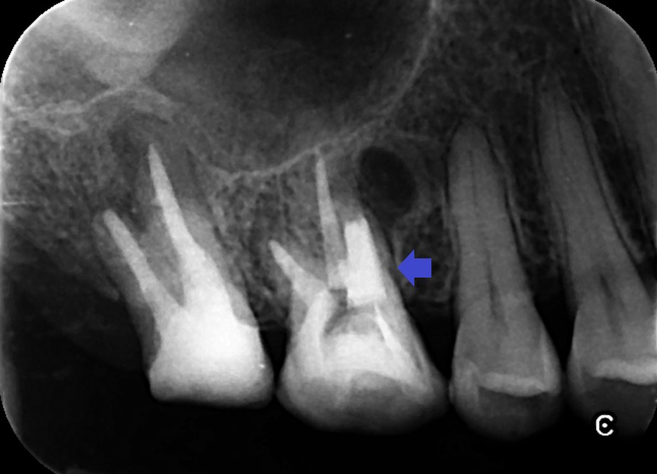
第二大臼歯の精密再根管治療後のレントゲン画像です。
 
第一大臼歯の精密再根管治療後のレントゲン画像です。
 
再根管治療12ヶ月後のCT画像です。第一大臼歯は精密再根管治療のみ、第二大臼歯は精密再根管治療で改善がみられなかったため、歯根尖切除術を行いました。第一大臼歯、第二大臼歯共に膿の影の縮小と歯槽骨の再生がみられます。
根の外で細菌が蔓延っていると、精密再根管治療で根管を隅々まで殺菌消毒しても膿が治らないこともあります。その場合には外科治療で対処します。当医院では、可能な限り外科治療しない方針で治療を進めますが、本ケースのように外科治療が必要になることもあります。
《主な副作用》
ラバーダム防湿が必要になり、開口時間が長くなります。歯科用顕微鏡による精密根管治療は、肉眼や拡大鏡では見えないところ(治療が不十分であった部分)が見えるようになるため、なすべき治療が増えるので治療時間や治療日数がかかります。
《治療期間》
おおよそ、3~5日(1回1時間の目算です。)
《治療費》
根管治療費(消費税込み):前歯132,000円、小臼歯154,000円、大臼歯 176,000円 (根管治療費以外に別途、被せ物・土台除去、隔壁作成の費用がかかることがあります。詳細は、お問い合わせください。)
>>より詳しい情報は、当院の根管治療ページでご案内しておりますので、あわせてご覧ください。
 
                
                全国で11名の歯科医師のみ、
                        日本で最も厳しい顕微鏡歯科基準をクリア
                顕微鏡歯科ネットワークジャパン認定医・日本顕微鏡歯科学会認定医
根管治療・顕微鏡歯科治療専門 歯科医岡野 眞


 
         
         
         
    





 
  
 

