下顎の第一大臼歯の手術が上手くいかずに抜歯を宣告されていらした患者さんです。CT画像では、下顎第一大臼歯にある近心根と遠心根の両方の根に膿の影がみられ、特に遠心根は歯根尖切除術で歯根尖を切り損ねているような所見がみられました。
手術は上手くいっていませんでしたが、根管治療のみで治せる可能性は0ではないので、歯科用顕微鏡下で精密再根管治療を行うことにしました。
難しい根管治療でしたが、経過観察後のCTで近心根と遠心根の両方の根に膿の改善を確認し、再手術をせずに済みました。
初診時の下顎第一大臼歯の矢状断のCT画像です。近心根と遠心根の根の先に膿の影がみられます。
矢印の先に膿の影がそれぞれみられますが、特に赤い矢印の先の遠心根の影が大きく、手術で根の先を半分切り残しているように見えます。
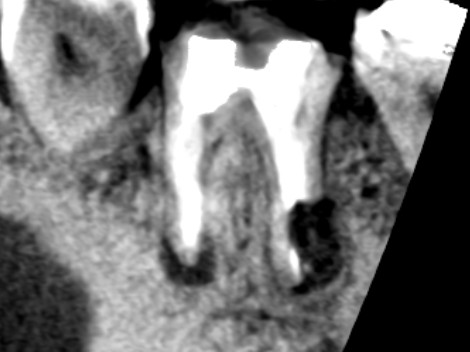
初診時の下顎第一大臼歯遠心根の冠状断のCT画像です。
赤い矢印の先に影がみられ、手術で斜めに根を切断した先の根が切りきれていないように見えます。
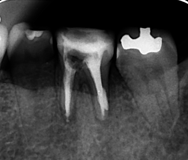
再手術ではなく、精密再根管治療をまず行うことにしました。再根管治療で治せる確率は0ではないと判断しました。画像は、根管充填時のレントゲン写真です。
精密再根管治療1年後の下顎第一大臼歯の矢状断のCT画像です。近心根と遠心根にみられた膿の影が消えてきています。赤い矢印の先は、手術を失敗していた遠心根です。
精密再根管治療1年後の下顎第一大臼歯遠心根の冠状断のCT画像です。赤い矢印の先に歯根膜ができ始めているようにみえます。
根管治療で膿が治らなかった場合は、外科的歯内療法という手術を行うことが多いです。しかし、外科的歯内療法も必ずしも成功するとは限りません。本ケースのように外科的歯内療法が成功していなくても、当医院は再外科手術ではなく根管治療(非外科的歯内療法)で治すことを第一目標にしています。
《主な副作用》
ラバーダム防湿が必要になり、開口時間が長くなります。歯科用顕微鏡による精密根管治療は、肉眼や拡大鏡では見えないところ(治療が不十分であった部分)が見えるようになるため、なすべき治療が増えるので治療時間や治療日数がかかります。
《治療期間》
おおよそ、3~5日(1回1時間の目算です。)
《治療費》
根管治療費(消費税込み):前歯132,000円、小臼歯154,000円、大臼歯 176,000円 (根管治療費以外に別途、被せ物・土台除去、隔壁作成の費用がかかることがあります。詳細は、お問い合わせください。)








