歯根破折は、特徴的な所見がCT画像に出ることが多いです。歯根の破折部に沿って歯槽骨の吸収が起こり、CT画像で歯根の周りに長い影が出ます。歯根破折は抜歯になってしまうことが多いので、深刻な問題です。
患歯は、右上の第二小臼歯です。CT画像で歯根の横に長い影がみられました。長い歯槽骨の吸収像の原因としては、根尖病変、歯周病、歯根破折、セメント質剥離等が主に考えられます。特に歯根破折は抜歯に直結しますが、被せ物を外したところ、歯髄(歯の神経)はもう死んでおり、根管の中を歯科医用顕微鏡で観察した結果、歯根破折はみられませんでした。
CT画像で歯根の横の長い影は、根尖病変の可能性が高いと判断し精密根管を行ったところ、膿の影の消失と歯槽骨の再生を認めました。
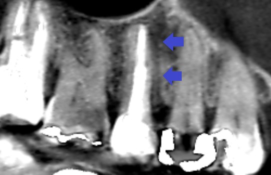
初診時の第二小臼歯のCT画像です。
赤い矢印の先に長い影がみられます。長い影は、歯根破折(ヒビ)の可能性があります。
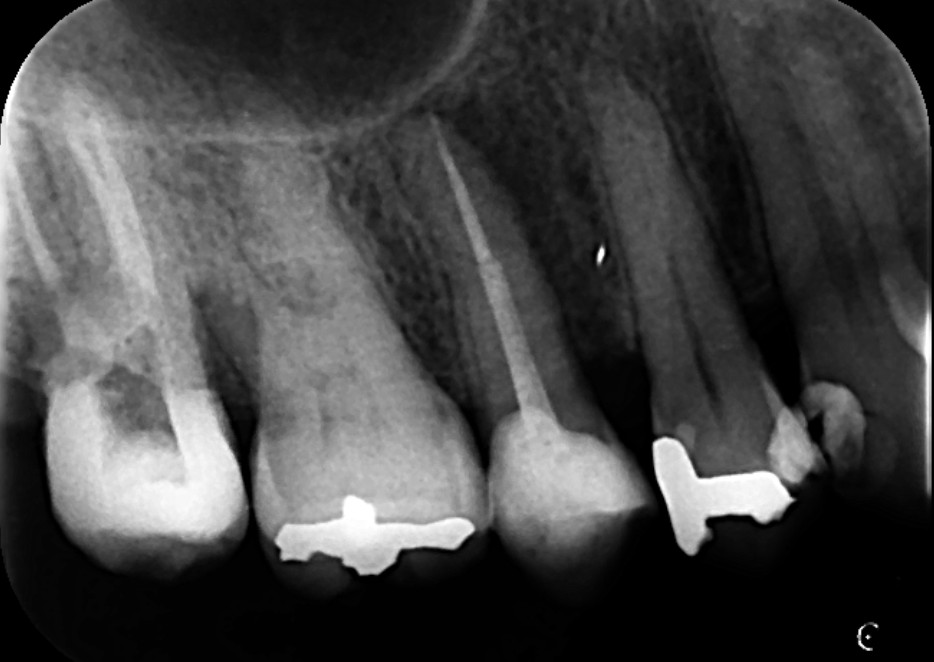
上の画像は、根管治療後のレントゲン画像です。
歯科用顕微鏡で根管内を観察したところ、歯根破折(ヒビ)は確認できませんでしたので、精密根管治療を行いました。
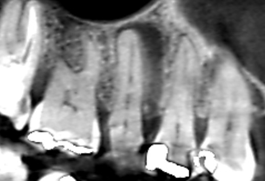
根管治療6ヶ月後のCT画像です。根の横にみられた長い影が消失し、歯槽骨が再生しています。
最初にみられた長い影は、歯根破折ではなく根尖病変が原因だったケースです。歯根破折が疑えるようなケースでも、歯科用顕微鏡で精密にチェックすることが重要です。そうすれば、誤診せず抜歯を免れる可能性があります。
《主な副作用》
ラバーダム防湿が必要になり、開口時間が長くなります。歯科用顕微鏡による精密根管治療は、肉眼や拡大鏡では見えないところ(治療が不十分であった部分)が見えるようになるため、なすべき治療が増えるので治療時間や治療日数がかかります。
《治療期間》
おおよそ、3~5日(1回1時間の目算です。)
《治療費》
根管治療費(消費税込み):前歯132,000円、小臼歯154,000円、大臼歯 176,000円 (根管治療費以外に別途、被せ物・土台除去、隔壁作成の費用がかかることがあります。詳細は、お問い合わせください。)








