上顎の大臼歯にできていた膿のケースです。一見、上手く根管治療できているようにみえましたが、CT画像を少しずらすと未治療の副根管があり、それが原因で膿ができていることが考えられました。副根管とそれに付随するイスムスを清掃すれば膿が改善する可能性が高いと判断し、精密根管治療を開始しました。
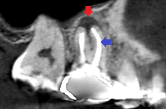
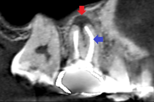
初診時のCT画像です。
赤い矢印の先に膿の影がみられます。青い矢印の先の近心頬側根の根管充填は、根の先にまで到達し上手く根管治療できているようにみえます。
しかし、CTの画像を少しずらしてみると、同じ近心頬側根の中にもう一つの未治療の根管がみられました。青い矢印の先に黒い筋がみられます。これが未治療の根管です。
根管充填後のレントゲン写真です。精密根管治療により、近心頬側根の副根管とイスムスの清掃を徹底的にしました。
6カ月後の経過観察時のCT画像です。矢印の先にあった膿の影が消え、歯槽骨が再生しています。
歯は、一つの根に一つの根管のみがあるとは限らないのです。膿ができるには、必ずどこかに細菌感染が残っているので、それを見落とさないことが重要なのです。
《主な副作用》
ラバーダム防湿が必要になり、開口時間が長くなります。歯科用顕微鏡による精密根管治療は、肉眼や拡大鏡では見えないところ(治療が不十分であった部分)が見えるようになるため、なすべき治療が増えるので治療時間や治療日数がかかります。
《治療期間》
おおよそ、3〜5日(1回1時間の目算です。)
《治療費》
精密根管治療費(消費税込み):前歯132,000円、小臼歯154,000円、大臼歯 176,000円 (根管治療費以外に別途、被せ物・土台除去、隔壁作成の費用がかかることがあります。詳細は、お問い合わせください。)








