他の歯の治療でCTを撮影したところ、一緒に膿が見つかったケースです。CT画像では上顎の第一大臼歯と第二大臼歯の根に大きな膿の影があり、その膿に沿って上顎洞内に白い粘膜の肥厚がみられました。上顎洞内の粘膜の肥厚は、上顎の第一大臼歯と第二大臼歯にある膿が原因で歯性上顎洞炎を起こしていると思われました。第一大臼歯と第二大臼歯の根にある膿は根管治療の失敗によるものと考えられます。
症状が出ていなかったのですが、第一大臼歯と第二大臼歯にある膿が再根管治療で治れば、上顎洞炎も同時に改善する可能性があるので、精密根管治療を行うことになりました。

上顎の第一大臼歯と第二大臼歯の初診時のCT画像です。

赤い矢印の先が膿の影です。とても大きく根尖孔外感染という難治性の膿になっている可能性もあります。根の先の膿に隣接して上顎洞内に白い肥厚(青い矢印の先)がみられ、上顎洞炎も同時に起こしています。

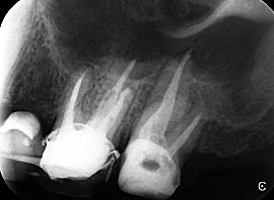
上顎第一大臼歯と第二大臼歯の精密根管治療を行いました。画像は、根管充填時のレントゲン写真です。

精密根管治療6カ月後のCT画像です。上顎第一大臼歯と第二大臼歯共に根の先にあった大きな膿の影が消失し、上顎洞内にあった上顎洞炎の白い肥厚も消えてきています(青い矢印のところ)。
大きい膿でしたが精密根管治療により膿が消失し、同時に歯性上顎洞炎も改善しました。今回のように、歯性上顎洞炎は副鼻腔炎の一つですが根管治療のみで治ることもあるのです。上顎洞炎に根尖病変が近接している場合は、まず根管治療をしてみることをお勧めします。
《主な副作用》
ラバーダム防湿が必要になり、開口時間が長くなります。歯科用顕微鏡による精密根管治療は、肉眼や拡大鏡では見えないところ(治療が不十分であった部分)が見えるようになるため、なすべき治療が増えるので治療時間や治療日数がかかります。
《治療期間》
おおよそ、3〜5日(1回1時間の目算です。)
《治療費》
精密根管治療費(消費税込み):前歯132,000円、小臼歯154,000円、大臼歯 176,000円 (根管治療費以外に別途、被せ物・土台除去、隔壁作成の費用がかかることがあります。詳細は、お問い合わせください。)
>>より詳しい情報は、当院の根管治療ページでご案内しておりますので、あわせてご覧ください。

全国で11名の歯科医師のみ、
日本で最も厳しい顕微鏡歯科基準をクリア
顕微鏡歯科ネットワークジャパン認定医・日本顕微鏡歯科学会認定医
根管治療・顕微鏡歯科治療専門 歯科医岡野 眞