上顎第二大臼歯の口蓋根に膿がみられたケースです。CT画像で確認したところ、膿の影がやや長く大きく、歯根破折や根尖孔外感染が疑われました。歯科用顕微鏡で根管内を視認したところ、歯根破折は確認できませんでした。根尖孔外感染が起きている場合、根管治療では治らないのですが上顎第二大臼歯の口蓋根は歯根尖切除術の適応外であり、歯根の形態から意図的再植術も難しいケースでした。再根管治療で膿が治らないと抜歯になってしまう可能性もあります。
歯根破折はみられなかったので、精密再根管治療により膿の改善をはかることになりました。
初診時の上顎第二大臼歯の矢状断のCT画像です。
赤い矢印の先に口蓋根をとり巻くような長い膿の影がみられます。歯根破折やと根尖孔外感染が疑われます。
初診時の上顎第二大臼歯の冠状断のCT画像です。
赤い矢印の先の口蓋根の横に長い膿の影がみられます。歯根破折や根尖孔外感染が疑われるケースです。
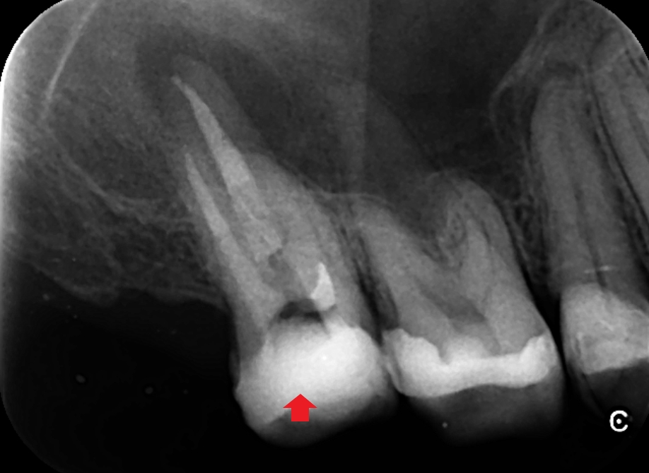
口蓋根は歯科用顕微鏡で歯根破折がみられなかったので、精密根管治療を行いました。画像は根管充填時のレントゲン写真です。
精密根管治療6ヶ月後の経過観察時の上顎第二大臼歯の矢状断のCT画像です。口蓋根の周りにみられた膿の影が消失し、歯槽骨が再生しています。
精密根管治療6ヶ月後の経過観察時の上顎第二大臼歯の冠状断のCT画像です。矢印の先に見えていた長い膿の影が消失しています。
精密根管治療により膿が改善したので、根尖孔外感染ではありませんでした。手術が難しいケースだったので、抜歯を免れることができました。
《主な副作用》
ラバーダム防湿が必要になり、開口時間が長くなります。歯科用顕微鏡による精密根管治療は、肉眼や拡大鏡では見えないところ(治療が不十分であった部分)が見えるようになるため、なすべき治療が増えるので治療時間や治療日数がかかります。
《治療期間》
おおよそ、3〜5日(1回1時間の目算です。)
《治療費》
精密根管治療費(消費税込み):前歯132,000円、小臼歯154,000円、大臼歯 176,000円 (根管治療費以外に別途、被せ物・土台除去、隔壁作成の費用がかかることがあります。詳細は、お問い合わせください。)








