下顎第二小臼歯の根の先に膿ができていたケースです。すでに他院で根管治療をされていたのですが、根管充填が根の先まで足りず、できた空間に細菌が溜まって膿んでしまっていることが考えられました。根管治療をやり直し根の先まで根管をしっかり封鎖することで膿が治る可能性があります。

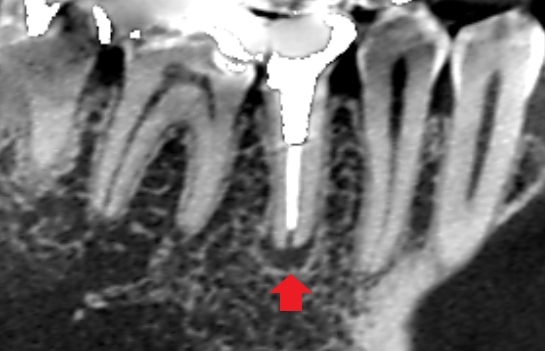
初診時のCT画像です。

赤い矢印の先に膿の影がみられます。

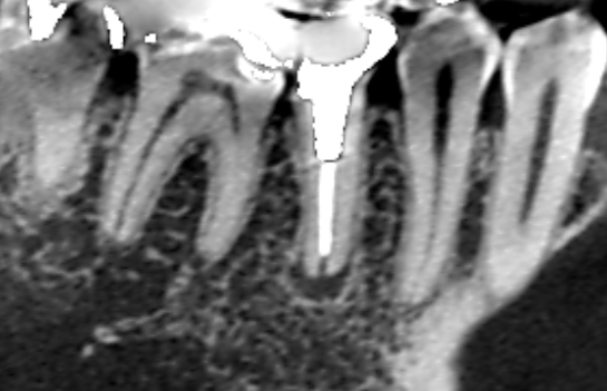
根管充填が根の先まで足りず、細菌が繁殖できる空間ができているために膿んでいる可能性があります(青い矢印の先)。

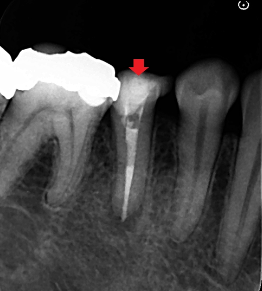
精密根管治療を行い、根の先までしっかり根管充填をすることを心がけました。画像は根管充填時のレントゲン写真です。根の先まで根管充填材が届いています。

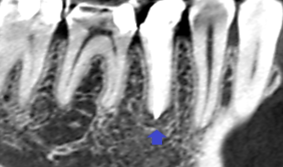
精密根管治療6ヶ月後の経過観察時のCT画像です。青い矢印の先にあった膿の影が消失し歯槽骨が再生しています。
根管治療をされている歯の根の先に膿がある場合は、細菌が歯根のどこかにいるということです。それを精査し、問題を解決することで膿が治ります。今回は、根管充填の不足が原因と考えられ、根の先までしっかり根管充填することで膿の改善が図れたケースでした。
《主な副作用》
ラバーダム防湿が必要になり、開口時間が長くなります。歯科用顕微鏡による精密根管治療は、肉眼や拡大鏡では見えないところ(治療が不十分であった部分)が見えるようになるため、なすべき治療が増えるので治療時間や治療日数がかかります。
《治療期間》
おおよそ、3〜5日(1回1時間の目算です。)
《治療費》
精密根管治療費(消費税込み):前歯132,000円、小臼歯154,000円、大臼歯 176,000円 (根管治療費以外に別途、被せ物・土台除去、隔壁作成の費用がかかることがあります。詳細は、お問い合わせください。)
>>より詳しい情報は、当院の根管治療ページでご案内しておりますので、あわせてご覧ください。

全国で11名の歯科医師のみ、
日本で最も厳しい顕微鏡歯科基準をクリア
顕微鏡歯科ネットワークジャパン認定医・日本顕微鏡歯科学会認定医
根管治療・顕微鏡歯科治療専門 歯科医岡野 眞