通常の根管治療で根の先の膿が治らなかった場合、外科的歯内療法を行いますが、様々な理由で外科的歯内療法が難しい場合、抜歯になってしまう可能性もあります。今回は、外科的歯内療法はリスクがあるので、非外科的歯内療法で治さなければいけないケースについて解説します。
下顎第一大臼歯にある3つの根の全てに膿がみられました。遠心根は頬側と舌側の2根に分かれており、特に遠心舌側根が非外科的歯内療法で膿が治らなかった場合、外科的歯内療法を行うのですが、位置的に歯根尖切除術が難しいのと、遠心舌側根は湾曲が強いので抜歯時に歯根が折れる可能性から意図的再植術も難しく、抜歯になってしまうかもしれません。何とか非外科的歯内療法で治さなければいけないケースでした。
幸い、膿もまだ大きくなっていなかったので、根管を徹底的に清掃すれば非外科的歯内療法で治る可能性が高いと判断し、精密根管治療を行いました。
下顎第一大臼歯の初診時の矢状断のCT画像です。
赤い矢印の先に膿の影がみられます。
下顎第一大臼歯の初診時の冠状断のCT画像です。
赤い矢印の先に膿の影がみられます。向かって左が遠心頬側根、右が遠心舌側根です。遠心舌側根は、湾曲がみられます。
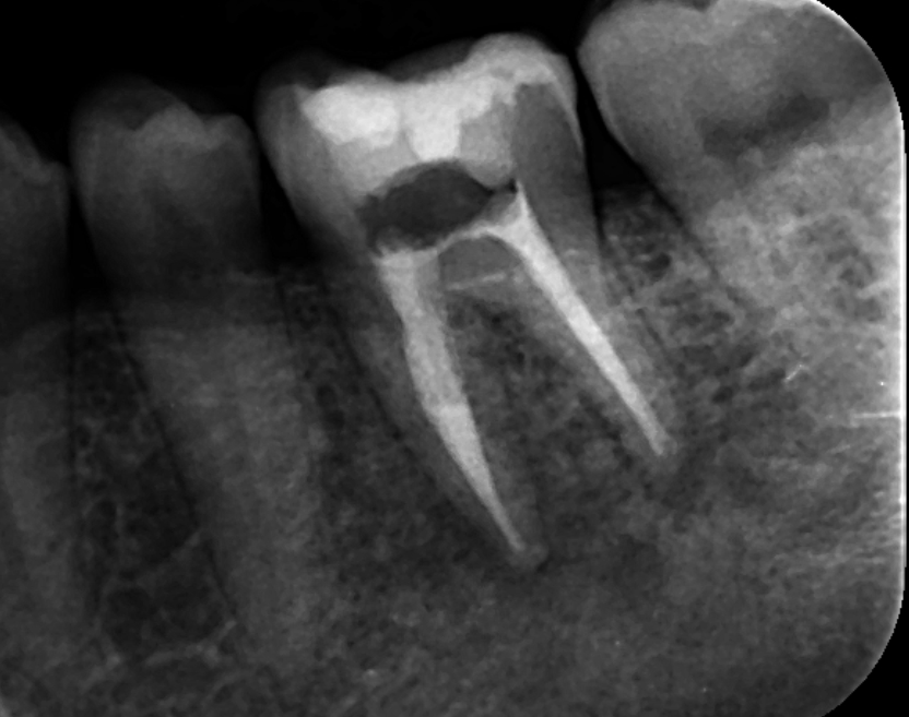
下顎第一大臼歯の根管充填時のレントゲン写真です。細菌感染を残さないよう、根管の隅々まで丁寧に清掃を行い、根の先まで根管充填を行いました。
精密根管治療6ヶ月後の経過観察時の矢状断のCT画像です。青い矢印の先にあった膿の影が縮小し歯槽骨が再生してきています。
精密根管治療6ヶ月後の経過観察時の冠状断のCT画像です。青い矢印の先にあった膿の影が縮小し歯槽骨が再生してきています。
状態によっては外科的歯内療法が難しい歯もあります。まずは最大限、非外科的歯内療法で膿を治すことを心がけることが重要です。そのためには、早い段階で精密根管治療を受けることをお勧めしたいと思います。
《主な副作用》
ラバーダム防湿が必要になり、開口時間が長くなります。歯科用顕微鏡による精密根管治療は、肉眼や拡大鏡では見えないところ(治療が不十分であった部分)が見えるようになるため、なすべき治療が増えるので治療時間や治療日数がかかります。
《治療期間》
おおよそ、3〜5日(1回1時間の目算です。)
《治療費》
精密根管治療費(消費税込み):前歯132,000円、小臼歯154,000円、大臼歯 176,000円 (根管治療費以外に別途、被せ物・土台除去、隔壁作成の費用がかかることがあります。詳細は、お問い合わせください。)
>>より詳しい情報は、当院の根管治療ページでご案内しておりますので、あわせてご覧ください。
全国で11名の歯科医師のみ、
日本で最も厳しい顕微鏡歯科基準をクリア
顕微鏡歯科ネットワークジャパン認定医・日本顕微鏡歯科学会認定医
根管治療・顕微鏡歯科治療専門 歯科医岡野 眞




