上顎側切歯のレジン充填でむし歯が再発し歯の神経が腐敗した結果、膿ができたと思われるケースです。膿は、唇側から口蓋側にかけて骨が抜けるほどの大きさでした。
膿は大きいですが、改善を計るべく精密根管治療を行いました。

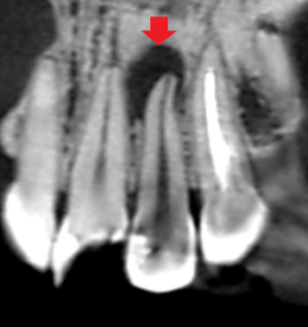
上顎側切歯の冠状断のCT画像です。

赤い矢印の先に膿の影が認められます。膿は隣の中切歯の歯根に達しています。

上顎側切歯の矢状断のCT画像です。

赤い矢印の先に膿の影が認められます。膿は唇側の歯槽骨を破り、
口蓋側の歯槽骨もペラぺラになる程の大きさでした。

膿の改善を計るべく精密根管治療を行いました。
画像は、根管充填時のレントゲン画像です。

精密根管治療6カ月後の経過観察時の冠状断のCT画像です。
隣の歯根に接するほど大きかった膿の影が消失し、歯槽骨が再生しています。

精密根管治療6カ月後の経過観察時の冠状断のCT画像です。
唇側から口蓋側にかけて骨が抜けそうな位大きかった膿の影が消失し、
歯槽骨が再生しています。
膿が大きく、非外科的歯内療法では治らないことも考えられたケースですが、手術せずに改善することができました。大きな膿がでも適切な根管治療を行うことにより手術せずに治ることもあります。当医院は、まずは外科的歯内療法を行わずに治すことを目指しています。
《根管治療の主な副作用》
ラバーダム防湿が必要になり、開口時間が長くなります。歯科用顕微鏡による精密根管治療は、肉眼や拡大鏡では見えないところ(治療が不十分であった部分)が見えるようになるため、なすべき治療が増えるので治療時間や治療日数がかかります。
《治療期間》
おおよそ、3〜5日(1回1時間の目算です。)
《治療費》
精密根管治療費(消費税込み):前歯132,000円、小臼歯154,000円、大臼歯 176,000円








