上顎第一大臼歯は、根が三つあることが多く、根管治療が三つの根全てに膿があることがあります。歯を使っていくためには全ての膿が治らなければならず、特に口蓋根は外科的歯内療法が難しく手術ができないこともあるので歯を残すハードルが高くなります。
歯にある三つの膿全てを治すべく精密再根管治療を行いました。

上顎第一大臼歯の頬側根の矢状断のCT画像です。

頬側にある近心根と遠心根の両方に膿の影がみられます。

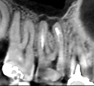
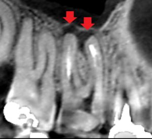
上顎第一大臼歯の口蓋根の矢状断のCT画像です。

矢印の先に膿の影がみられます。

同じく上顎第一大臼歯の口蓋根の冠状断のCT画像です。

矢印の先に膿の影がみられます。
CTは、このように一つの根について角度を変えてみることができます。
この歯は、この歯にある全ての根に膿が確認できました。

精密根管治療6カ月後の経過観察時の上顎大臼歯頬側根の矢状断のCT画像です。
矢印の先にあった近心根と遠心根の両方の膿が消失し、歯槽骨が再生しています。

精密根管治療6カ月後の経過観察時の上顎大臼歯口蓋根の矢状断のCT画像です。
矢印の先にあった膿が消失し、歯槽骨が再生しています。

精密根管治療6カ月後の経過観察時の上顎大臼歯口蓋根の冠状断のCT画像です。
矢印の先にあった膿が消失し、歯槽骨が再生しています。
本症例は、三つの根全てに膿があり、特に手術のできない口蓋根の膿が改善したので、抜歯を免れることができました。大臼歯は根が複数あることが多く、根管治療の失敗で膿ができる確率は高くなります。歯を使っていくためには全ての膿が治らなければならず、歯の保存のハードルは高くなります。大事な歯を残すためには、膿を作らないよう最初の根管治療が大事であるということをご理解いただけたらと思います。
《根管治療の主な副作用》
ラバーダム防湿が必要になり、開口時間が長くなります。歯科用顕微鏡による精密根管治療は、肉眼や拡大鏡では見えないところ(治療が不十分であった部分)が見えるようになるため、なすべき治療が増えるので治療時間や治療日数がかかります。
《治療期間》
おおよそ、3〜5日(1回1時間の目算です。)
《治療費》
精密根管治療費(消費税込み):前歯132,000円、小臼歯154,000円、大臼歯 176,000円







