痛みや歯茎の腫れが無くても根管治療が上手くいっておらず、根の先に膿がみられることがよくあります。本症例も他の歯の根管治療でCTを撮影したところ、下顎大臼歯に膿が見つかったケースです。その歯は根の先に膿がみられたにも関わらず、特に痛みや歯茎の腫れなどの症状もなく、患者さんも膿の存在に気づかれていませんでした。
治療が遅くなることにより膿が大きくなってしまうと、根尖孔外感染を起こし治りにくい膿に代わってしまうことがあるので、精密再根管治療を行なうことになりました。

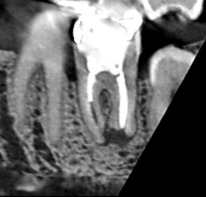
下顎大臼歯の矢状断のCT画像です。

矢印の先に膿の影がみられます。遠心根の先が吸収され、平らになっています。
膿が長くあった可能性が高いケースです。
もう既に根尖孔外感染を起こし治りにくい膿に代わっている可能性があります。

下顎大臼歯遠心根の冠状断のCT画像です。

赤い矢印の先に膿の影がみられます。根尖孔が大きく、
根の先まで根管充填で封鎖するのが難しいケースです。

精密再根管治療により膿の改善をはかりました。
根管充填の画像です。近心根の根管は、根尖付近で石灰化していました。
膿の原因になっている遠心根は、根の先までしっかり根管充填ができました。

精密根管治療6カ月後の経過観察時の下顎大臼歯の矢状断のCT画像です。
矢印の先の根の先にあった膿の影が消失し、歯槽骨が再生しています。
精密根管治療6カ月後の経過観察時の下顎大臼歯の冠状断のCT画像です。
根の先までしっかり根管充填されているのが分かります。
矢印の先の根の先にあった膿の影が消失し、歯槽骨が再生しています。
本ケースのように膿があっても症状がなく、膿の存在に気づかれていないことも多いです。本ケースは、根尖孔外感染という治りにくい膿になる前に改善することができました。根管治療が上手くいっておらず膿ができている場合は、症状が無くても治りにくい膿に代わる前に精密再根管治療により早く膿を治されることをお勧めいたします。
《根管治療の主な副作用》
ラバーダム防湿が必要になり、開口時間が長くなります。歯科用顕微鏡による精密根管治療は、肉眼や拡大鏡では見えないところ(治療が不十分であった部分)が見えるようになるため、なすべき治療が増えるので治療時間や治療日数がかかります。
《治療期間》
おおよそ、3〜5日(1回1時間の目算です。)
《治療費》
精密根管治療費(消費税込み):前歯132,000円、小臼歯154,000円、大臼歯 176,000円







