上顎大臼歯にCT画像で大きな膿が認められたケースです。大きな膿がみられる時は歯根破折している可能性があります。また、その他にも根尖孔外感染により大きな膿ができている時もあり、根管治療では治りにくい膿にかわっている可能性もあります。本ケースも膿が大きかったですが、実際にはパーフォレーションが原因と考えられたケースでした。

上顎大臼歯の矢状断のCT画像です。

赤い矢印の先に黒い大きな膿の影がみられます。

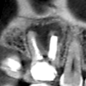
上顎大臼歯の近心頬側根の冠状断のCT画像です。

矢印の先に近心頬側根をとり巻くように大きな膿の影がみられます。
歯根破折を疑わせる画像です。
まず破折の確認のためにマイクロスコープで根管内を視認しましたが、
破折は認められませんでした。
ただ、近心頬側根の分岐部に大きなパーフォレーションがみられました。

破折が認められなかったので、
膿を改善するべく精密再根管治療を行いました。
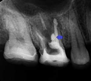
上の画像は、根管充填とパーフォレーションリペア時の
レントゲン画像です。
根管充填とパーフォレーションリペアは、
MTAセメントを使用しています。
青い矢印の先がパーフォレーションリペア部です。

精密根管治療2年後後の経過観察時の
上顎大臼歯の矢状断のCT画像です。
矢印の先の根の先にあった膿の影が明らかに縮小し、
歯槽骨が再生してきています。

精密根管治療2年後の経過観察時の
上顎大臼歯の冠状断のCT画像です。
矢印の先に近心頬側根をとり巻くようにあった大きな膿の影が縮小し、
歯槽骨が再生してきています。
歯根破折を疑わせるくらい大きな膿の影がCT画像で見られたとしても、必ずしも破折とは限りません。本ケースは、歯根破折や根尖孔外感染ではなく、パーフォレーションが大きな膿の原因でしたので、適切な再根管治療を行うことにより膿を改善することができました。
《根管治療の主な副作用》
ラバーダム防湿が必要になり、開口時間が長くなります。歯科用顕微鏡による精密根管治療は、肉眼や拡大鏡では見えないところ(治療が不十分であった部分)が見えるようになるため、なすべき治療が増えるので治療時間や治療日数がかかります。
《治療期間》
おおよそ、3〜5日(1回1時間の目算です。)
《治療費》
精密根管治療費(消費税込み):前歯132,000円、小臼歯154,000円、大臼歯 176,000円







