治療中に他の歯に膿が見つかったケースです。他の歯の治療のためにCTを撮影したところ、上顎第二大臼歯の根の先に膿が見つかりました。この歯に関しては、患者さんは痛みなどの自覚症状は持っておらず、膿を持っていることも気づいていませんでした。
このように、痛みなどの自覚症状が無くても、実は膿があるというケースはとても多いです。たまたま、膿が見つかったので精密根管治療で膿の改善を図りました。
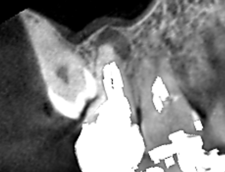
上顎第二大臼歯の矢状断のCT画像です。
赤い矢印の先に膿の影がみられます。
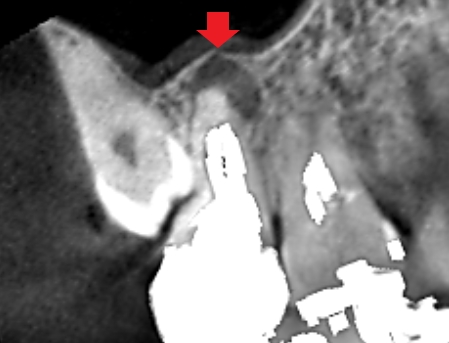
上顎第二大臼歯の冠状断のCT画像です。
赤い矢印の先に膿の影がみられます。
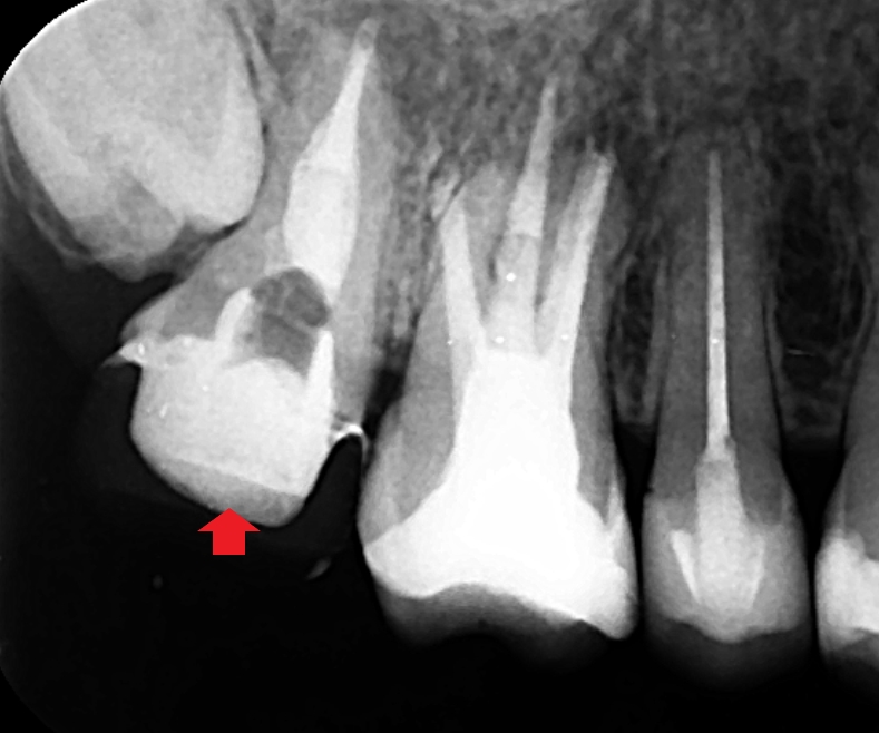
精密根管治療により、膿の改善を図りました。上の画像は根管充填時のレントゲン写真です。
6カ月後の経過観察時の矢状断のCT画像です。矢印の先にあった膿の影が消え、歯槽骨が再生しています。
6カ月後の経過観察時の冠状断のCT画像です。矢印の先にあった膿の影が消え、歯槽骨が再生しています。
根管治療が失敗し根の先に膿ができていたとしても、必ずしも自覚症状が出るとは限りません。ただし、症状がないからと言って様子を見てしまうと根尖孔外感染という根管治療では治りにくい膿に代わってしまうことがあるので、膿が見つかった場合は早めの根管治療をお勧めいたします。
《主な副作用》
ラバーダム防湿が必要になり、開口時間が長くなります。歯科用顕微鏡による精密根管治療は、肉眼や拡大鏡では見えないところ(治療が不十分であった部分)が見えるようになるため、なすべき治療が増えるので治療時間や治療日数がかかります。
《治療期間》
おおよそ、3〜5日(1回1時間の目算です。)
《治療費》
精密根管治療費(消費税込み):前歯132,000円、小臼歯154,000円、大臼歯 176,000円 (根管治療費以外に別途、被せ物・土台除去、隔壁作成の費用がかかることがあります。詳細は、お問い合わせください。)








