他の歯の治療でCTを撮影したところ膿が見つかったケースです。特に痛みや歯茎の腫れもなく、ご本人は膿の存在に気づかれていませんでした。下顎第一大臼歯にある二本の根の両方に膿がみられました。根管充填は二本とも必要なところまで届いていましたが、両方とも根の先に膿ができていました。根管の消毒不足による感染の残存、またはコロナルリーケージによる根管の再感染が考えられました。
精密根管治療により、膿の改善をはかりました。

下顎第一大臼歯の初診時のCT画像です。

赤い矢印の先に膿の影がみられます。二本の根の両方に膿がみられ、両方の膿を改善しなければいけません。

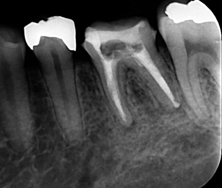
精密根管治療を行いました。画像は根管充填時のレントゲン写真です。

6カ月後の経過観察時のCT画像です。矢印の先にあった膿の影が消え、歯槽骨が再生しています。
痛みや歯茎の腫れもなく、ご本人は膿の存在に気づかれておらず、CT撮影で偶然膿が見つかることも多いです。本ケースは、一本の歯にある両方の根に膿があり、両方治らないと被せ直しができないケースです。根管治療は、その後の被せ物治療にも影響を及ぼしてしまうので、とても責任の高い治療です。根管治療の重要性をご理解いただけたらと思います。
《根管治療の主な副作用》
ラバーダム防湿が必要になり、開口時間が長くなります。歯科用顕微鏡による精密根管治療は、肉眼や拡大鏡では見えないところ(治療が不十分であった部分)が見えるようになるため、なすべき治療が増えるので治療時間や治療日数がかかります。
《治療期間》
おおよそ、3〜5日(1回1時間の目算です。)
《治療費》
精密根管治療費(消費税込み):前歯132,000円、小臼歯154,000円、大臼歯 176,000円 (根管治療費以外に別途、被せ物・土台除去、隔壁作成の費用がかかることがあります。詳細は、お問い合わせください。)
>>より詳しい情報は、当院の根管治療ページでご案内しておりますので、あわせてご覧ください。

全国で11名の歯科医師のみ、
日本で最も厳しい顕微鏡歯科基準をクリア
顕微鏡歯科ネットワークジャパン認定医・日本顕微鏡歯科学会認定医
根管治療・顕微鏡歯科治療専門 歯科医岡野 眞