精密根管治療を受けようか迷っている方も多いと思います。根管治療とはどういう治療なのか。当医院で行われている精密根管治療の実際を説明します。
歯茎が腫れたとのことで来院されました。CT画像で確認したところ、歯根の先に下顎管という下あごの中を通っている太い神経に達するほどの大きな膿がみられました。一般的には、膿が大きすぎて抜歯を勧められるケースです。外科的歯内療法は、歯根尖切除術ができないケースなので意図的再植術を選択することになりますが、抜歯時の破折や生着後のアンキローシスなどのリスクを考えると、可能ならば外科的歯内療法は行いたくありません。
根管の中の感染源を徹底的に除去することで膿の改善を試み、結果的に手術なしで大きかった膿の縮小を得られました。
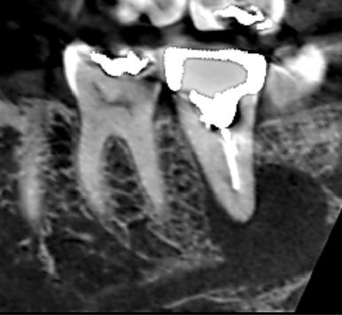
初診時のCT画像では、根の先に大きな膿の影がみられました。
下顎管という下あごの中に通っている太い神経達するほど大きい膿です。再根管治療を行い、根管の中の感染を徹底的に除去しました。
半年後、経過観察のCT画像です。大きかった膿の影が縮小し骨の再生が認められます。
膿があった期間が長く、膿が大きいケースは、根尖孔外感染を起こし治りにくい膿になっている可能性もあります。外科的歯内療法が必要になることがありますが、再根管治療を精密に行うことにより、膿が治ることがあるので、根管治療の得意な歯科医院に相談してみることをお勧めします。
本症例は、治療動画をアップしています。よろしければご覧ください。
解説動画
《主な副作用》
ラバーダム防湿が必要になり、開口時間が長くなります。歯科用顕微鏡による精密根管治療は、肉眼や拡大鏡では見えないところ(治療が不十分であった部分)が見えるようになるため、なすべき治療が増えるので治療時間や治療日数がかかります。
《治療期間》
おおよそ、3~5日(1回1時間の目算です。)
《治療費》
根管治療費(消費税込み):前歯132,000円、小臼歯154,000円、大臼歯 176,000円 (根管治療費以外に別途、被せ物・土台除去、隔壁作成の費用がかかることがあります。詳細は、お問い合わせください。)








