海外で根管治療の専門医で根管治療を受けられた患者さんです。海外で歯が痛くなり下顎の第二大臼歯の歯の神経の治療を受けられたとのことでした。
被せ物までされていましたが、帰国後夜も寝むれないくらいの激痛を訴えられ当医院に来院されました。根管が複雑な形態をした歯でしたが、精密再根管治療により膿の改善を図ることができました。
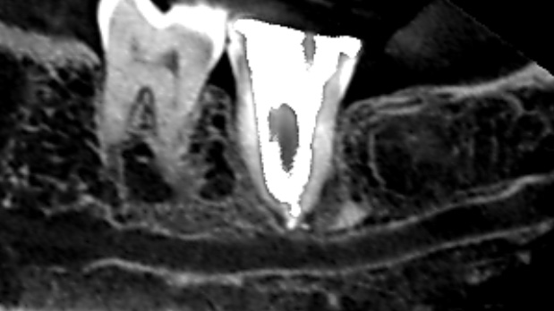
初診時のCT画像です。
赤い矢印の先に膿の黒い影がみられます。膿の影は、青い矢印の先にある太い下顎の神経に達し、この神経を圧迫し激痛を発していることが考えられました。
この歯の歯根の水平断のCT画像です。樋状根という雨樋の様な形をしています。
樋状根は根管も雨樋の様な形をしており、隅々まで根管を清掃するのは難しく、根管に感染が残りやすいです。雨樋状(U字形)に清掃することができていないために、根管の中の感染物質が除去できず、膿んできてしまったと考えられます。
樋状根は、イラストのように雨樋の形に根管清掃し根管充填することが必要です。
当医院にて再根管治療を行い、雨樋状(U字形)に根管を清掃し根管充填したところです。
根管充填の6ヶ月後のCT画像です。膿の影が消失し、下顎の太い神経の圧迫もなくなりました。
根管治療が難しいケースでも、再根管治療を精密に行うことにより、膿が治ることがあるので、諦めずに根管治療の得意な歯科医院に相談してみることをお勧めします。
《主な副作用》
ラバーダム防湿が必要になり、開口時間が長くなります。歯科用顕微鏡による精密根管治療は、肉眼や拡大鏡では見えないところ(治療が不十分であった部分)が見えるようになるため、なすべき治療が増えるので治療時間や治療日数がかかります。
《治療期間》
おおよそ、3~5日(1回1時間の目算です。)
《治療費》
根管治療費(消費税込み):前歯132,000円、小臼歯154,000円、大臼歯 176,000円 (根管治療費以外に別途、被せ物・土台除去、隔壁作成の費用がかかることがあります。詳細は、お問い合わせください。)








