精密根管治療を受けようか迷っている方も多いと思います。根管治療とはどういう治療なのか。当医院で行われている精密根管治療の実際を説明します。
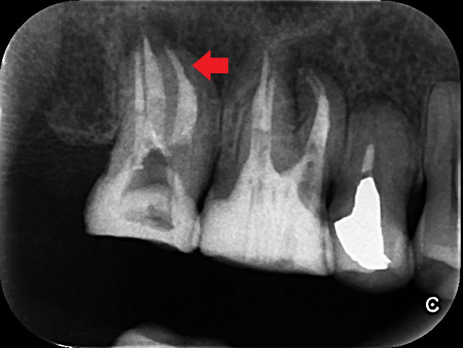
歯根の先に大きな膿があり、再根管治療が必要ですが破折ファイルが根管を塞いでいます。根管治療で膿を改善するためには、破折ファイルを除去し根管の殺菌・消毒が必要です。破折ファイルは除去が難しいケースもあり、必要に応じて外科的歯内療法を選択することもあります。本ケースは、手術なしで破折ファイルを除去し、再根管治療により大きな膿を改善しました。
破折ファイルがあり、根の先に膿がみられる場合は破折ファイル除去が必要になります。破折フィル除去には歯科用顕微鏡とCTスキャンがあると、安全にかつ確実な除去をしやすくなります。
本症例は、治療動画をアップしています。よろしければご覧ください。
解説動画
《主な副作用》
ラバーダム防湿が必要になり、開口時間が長くなります。歯科用顕微鏡による精密根管治療は、肉眼や拡大鏡では見えないところ(治療が不十分であった部分)が見えるようになるため、なすべき治療が増えるので治療時間や治療日数がかかります。
《治療期間》
おおよそ、3~5日(1回1時間の目算です。)
《治療費》
根管治療費(消費税込み):前歯132,000円、小臼歯154,000円、大臼歯 176,000円 (根管治療費以外に別途、被せ物・土台除去、隔壁作成の費用がかかることがあります。詳細は、お問い合わせください。)












