患者さんは特に自覚症状をお持ちでなかったのですが、他の歯の治療でCTを撮影したところ下顎第二大臼歯の遠心根に膿がみられました。下顎第二大臼歯は既に根管治療を行われており、CT画像では遠心根の特に舌側に膿の影が認められ、レントゲン画像では根の影に隠れて膿を見落としやすいケースです。遠心根の根管は根の先で遠心方向に曲がっており根管充填は根の先まで到達していませんでした。自覚症状が無くても根の先にできた膿を放置すると膿がより大きくなったり、根管治療で治りにくい膿になる可能性があるので、精密再根管治療により、改善を試みることになりました。
下顎第二大臼歯の矢状断のCT画像です。
矢印の先に膿の影がみられます。根管は、根の先の近くで90°近く曲がっています。再根管治療が難しいケースです。
下顎第二大臼歯の冠状断のCT画像です。
矢印の先に膿の影がみられます。膿は根の舌側寄りに拡がっていました。レントゲンでは、根に隠れて膿の本体が把握しにくいケースです。
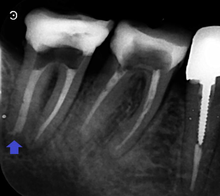
精密再根管治療を行いました。画像は、根管充填時のレントゲン写真です。遠心根の根の先の90°近く曲がった根管の先まで根管充填できています。
精密根管治療6カ月後の経過観察時の矢状断のCT画像です。矢印の先にみられた膿の影が消失し歯槽骨が再生してきています。
精密根管治療6カ月後の経過観察時の冠状断のCT画像です。遠心根の舌側にあった膿の影が消失し歯槽骨が再生してきています。
今回のように自覚症状がなくレントゲン写真に写りにくいケースは、見逃されやすいですがCT画像があれば膿の存在を確認することができます。このように、確実な診断をするためにはCT画像が重要な役割をします。遠心根の根管は根尖近くで曲がっていましたが、CT画像ではどの位置で、どのくらいの角度で、どの方向に曲がっているかも三次元的に確認することができます。どこに気を付けるべきかが事前にわかるので、再根管治療の成功率を上げることが可能です。根管治療に何故CTスキャンが必要か、分かりやすいケースでした。
《根管治療の主な副作用》
ラバーダム防湿が必要になり、開口時間が長くなります。歯科用顕微鏡による精密根管治療は、肉眼や拡大鏡では見えないところ(治療が不十分であった部分)が見えるようになるため、なすべき治療が増えるので治療時間や治療日数がかかります。
《治療期間》
おおよそ、3〜5日(1回1時間の目算です。)
《治療費》
精密根管治療費(消費税込み):前歯132,000円、小臼歯154,000円、大臼歯 176,000円








