上顎第一大臼歯の近心根に膿がみられました。実は、Vol.37、Vol.38、Vol.39は同じ患者さんです。とても気の毒なのですが一人のお口の中に膿がある歯がたくさんあったりすることも多いです。本ケースも根に膿がみられましたが、患者さんには特に自覚症状はありませんでした。このように、膿がたくさんあっても全く気が付かずに過ごされている方もいます。
上顎第一大臼歯の矢状断のCT画像です。
矢印の先の上顎第一大臼歯の近心根に膿の影がみられます。患者さんには症状もなく、膿の存在に気が付いていませんでした。
上顎第一大臼歯の近心頬側根の冠状断のCT画像です。
矢印の先の上顎第一大臼歯の近心根に膿の影がみられます。根管充填は根の先まで届いていますが、膿ができていました。
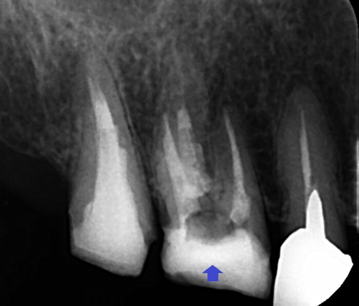
膿を改善するために精密再根管治療を行いました。顕微鏡下で近心頬側根の根管内を観察したところ、根管にはフィンと呼ばれる筋状の根管形態がみられ、そこに神経の死骸が残存していました。このフィンは、通常の根管治療では限界があり処置できないことが多いです。しかし、マイクロスコープにて拡大し明るい環境下で治療を行うことにより処置できていない部分を発見することができます。根管に取り残された神経の死骸が腐敗し、感染が根管に拡がって膿ができている可能性が高いので、フィンを削除し根管を隅々まで清掃後、根管充填しました。画像は、根管充填時のレントゲン写真です。
精密根管治療6カ月後の経過観察時の矢状断のCT画像です。矢印の先にみられた膿の影が消失し歯槽骨が再生してきています。
精密根管治療6カ月後の経過観察時の冠状断のCT画像です。近心頬側根の先にあった膿の影が消失し歯槽骨が再生してきています。
本ケースも根管形態を正しく理解し、適切に根管清掃するだけで膿が治りました。根管治療は、CTや歯科用顕微鏡など機材も重要ですが、どこを見落としやすいなど経験的な知見も重要です。お口の中が膿の歯だらけにならないよう、できるだけ根管治療は根管治療の得意な歯科医院にかかることをお勧めします。
《根管治療の主な副作用》
ラバーダム防湿が必要になり、開口時間が長くなります。歯科用顕微鏡による精密根管治療は、肉眼や拡大鏡では見えないところ(治療が不十分であった部分)が見えるようになるため、なすべき治療が増えるので治療時間や治療日数がかかります。
《治療期間》
おおよそ、3~5日(1回1時間の目算です。)
《治療費》
精密根管治療費(消費税込み):前歯132,000円、小臼歯154,000円、大臼歯 176,000円








