根管治療を受けているが歯茎の腫れが治らないということで当医院に来院された患者さんです。来院時には、すでに下顎第一大臼歯の根管治療が開始されていました。下顎第一大臼歯と第二大臼歯の頬側に歯茎の腫れがみられました。CT画像では、第一大臼歯の近心根と第二大臼歯の根の先に膿の影がみられました。また、第二大臼歯の近心根の近心側には歯根破折が疑われる歯槽骨吸収の長い影もみられます。何が原因で膿んで歯茎が腫れているかをまずつきとめる必要があります。
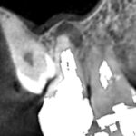
初診時の下顎第一大臼歯と第二大臼歯の矢状断のCT画像です。
赤い矢印の先の下顎第一大臼歯の近心根の根の先に膿の影がみられます。
下顎第二大臼歯の近心根の近心側に歯槽骨の吸収による長い影がみられます。歯根破折が疑えます。
まずは、すでに根管治療が開始されていた下顎第一大臼歯の精密再根管治療を行いました。画像は、下顎第一大臼歯の根管充填のレントゲン写真です。下顎第一大臼歯の再根管治療を終えても歯茎の腫れは改善しませんでした。その後、下顎第二大臼歯の根管治療を開始したところ歯根破折が確認され、保存不可と判断し抜歯をしたところ歯茎の腫れは消失しました。
下顎第一大臼歯の精密根管治療6ヶ月後のCT画像です。矢印の先にあった、膿の影が消失し歯槽骨が再生しています。歯茎の腫れは、下顎第二大臼歯の抜歯と同時に消失したので、本ケースの歯茎の腫れは、下顎第二大臼歯の歯根破折が原因でした。
膿を持っている歯どうしが隣接していると膿の原因の判定が難しくなります。膿の原因の判定に関しては、本ケースのように、治療しながら消去していくこともあります。ただ、消去法のためには確実に根管治療で膿を治すことができる技術を持っていることが前提となります。
《根管治療の主な副作用》
ラバーダム防湿が必要になり、開口時間が長くなります。歯科用顕微鏡による精密根管治療は、肉眼や拡大鏡では見えないところ(治療が不十分であった部分)が見えるようになるため、なすべき治療が増えるので治療時間や治療日数がかかります。
《治療期間》
おおよそ、3〜5日(1回1時間の目算です。)
《治療費》
精密根管治療費(消費税込み):前歯132,000円、小臼歯154,000円、大臼歯 176,000円
>>より詳しい情報は、当院の根管治療ページでご案内しておりますので、あわせてご覧ください。
全国で11名の歯科医師のみ、
日本で最も厳しい顕微鏡歯科基準をクリア
顕微鏡歯科ネットワークジャパン認定医・日本顕微鏡歯科学会認定医
根管治療・顕微鏡歯科治療専門 歯科医岡野 眞






