下顎の第二小臼歯の根の先に膿がみられました。患者さんの自覚症状はありませんでしたが、他の歯の治療のためCTスキャンをしたところ、膿がみつかったケースです。
膿が歯根の舌側に拡がり、根尖孔外感染を起こしていると歯根尖切除術でも感染を取り切れないかもしれません。可能ならば、手術をせずに膿を治したいところです。
まずは、精密根管治療により根管を徹底的に清掃し膿の改善をはかることにしました。
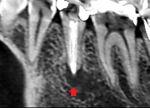
下顎第二小臼歯の初診時の矢状断のCT画像です。
赤い矢印の先に膿の影がみられます。
下顎第二小臼歯の初診時の冠状断のCT画像です。
赤い矢印の先に膿の影がみられます。膿は、画像では右側の舌側で拡がっていました。
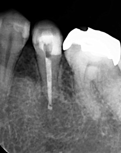
精密根管治療を行った根管充填時のレントゲン写真です。根の先までしっかり根管充填しました。
精密根管治療6カ月後の経過観察時の矢状断のCT画像です。下顎第二小臼歯の矢印の先にあった膿の影が消え、歯槽骨が再生しています。
精密根管治療6カ月後の経過観察時の冠状断のCT画像です。下顎第二小臼歯の根の舌側に拡がっていた膿の影が消え、歯槽骨が再生しています。
根尖孔外感染を疑える膿があったとしても、適切な根管治療を行えば膿が治ることも多いです。まずは、精密根管治療により手術をせずに膿が治るかをトライすることをお勧めします。
《根管治療の主な副作用》
ラバーダム防湿が必要になり、開口時間が長くなります。歯科用顕微鏡による精密根管治療は、肉眼や拡大鏡では見えないところ(治療が不十分であった部分)が見えるようになるため、なすべき治療が増えるので治療時間や治療日数がかかります。
《治療期間》
おおよそ、3〜5日(1回1時間の目算です。)
《治療費》
精密根管治療費(消費税込み):前歯132,000円、小臼歯154,000円、大臼歯 176,000円








