本ケースは、下顎第二大臼歯の根の先に、下顎管という下あごにある太い神経を圧迫するほど大きな膿があり、それが原因で激痛を発していました。
下顎第二大臼歯は、約30%に樋状根という歯根の切断面が雨樋の様な形をした根管があります。根管は歯根の形に比例することが多いので、樋状根の根管も歯根と同じ雨樋状の形態をしているので、それをイメージしながら根管を清掃しなければなりません。
夜も眠れないくらいの激痛が続いていたので、痛みを早く取り除くべく精密根管治療を始めました。
下顎第二大臼歯の初診時の矢状断のCT画像です。
赤い矢印の先に大きな膿の影がみられます。青い矢印の先にみられる下顎管という太い神経の通り道に膿の影が接しており、膿が神経を圧迫して激痛を発していることが考えられました。
下顎第二大臼歯の初診時の冠状断のCT画像です。
赤い矢印の先に下顎骨を破りそうな位大きくなった膿の影がみられます。青い矢印の先は、下顎管という太い神経の通り道です。下顎管に達するくらいの大きな膿です。ここまで膿が大きいと一般的には、抜歯を勧められると思います。
下顎第二大臼歯の初診時の水平断のCT画像です。歯根は雨樋状をしており、根管は黒い2根管しか清掃されていません。樋状根は、根管清掃も雨樋状の清掃が必要です。
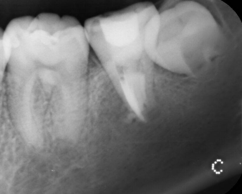
当医院は、保存治療専門の歯科医院です。精密根管治療により根管の感染を徹底的に除去し、膿の改善をはかりました。画像は、根管充填時のレントゲン写真です。雨樋状に根管を清掃し、根の先までしっかり根管充填しました。
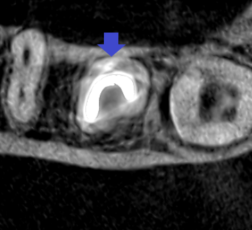
下顎第二大臼歯の根管充填の水平断のCT画像です。雨樋状に根管清掃・根管充填できています。根管充填時には、全ての痛みは消失していました。
精密根管治療6カ月後の経過観察時の矢状断のCT画像です。青い矢印の先にある膿の影の縮小が認められます。膿がかなり大きかったので、歯槽骨の再生は時間がかかっています。
精密根管治療6カ月後の経過観察時の冠状断のCT画像です。青い矢印の先にあった膿の縮小が認められます。歯槽骨が再生し、下顎管の圧迫も無くなってきています。
夜も眠れないくらいの激痛が続いたり、膿がかなり大きく抜歯を勧められていたとしても、適切な根管治療をすれば抜歯を免れるかもしれません。本ケースのように根管治療で清掃するべき根管は複雑であることも多く、根管治療は単純でないことが分かると思います。根管治療は施術する歯科医の考え方や治療技術によって予後の影響を受ける治療であることを認識していただけたらと思います。
《根管治療の主な副作用》
ラバーダム防湿が必要になり、開口時間が長くなります。歯科用顕微鏡による精密根管治療は、肉眼や拡大鏡では見えないところ(治療が不十分であった部分)が見えるようになるため、なすべき治療が増えるので治療時間や治療日数がかかります。
《治療期間》
おおよそ、3〜5日(1回1時間の目算です。)
《治療費》
精密根管治療費(消費税込み):前歯132,000円、小臼歯154,000円、大臼歯 176,000円








