Vol.41 下顎第二小臼歯と下顎第一大臼歯の近心根の両方の根にまたがる膿がみられたケース
下顎第二小臼歯と下顎第一大臼歯の近心根の両方の根にまたがる膿があり、口腔外科で外科的歯内療法を受けたが、膿がまた出てきてしまった患者さんです。
CT画像では、下顎第二小臼歯と下顎第一大臼歯の近心根と遠心根の根の先に膿の影がみられ、特に第二小臼歯と第一大臼歯の近心根の膿は大きく、両方の膿が繋がっているように見えました。下顎第二小臼歯と下顎第一大臼歯の近心根の根の先は切断されており、確かに外科手術の施術と思われる画像がCTで確認されました。
手術で膿が治らなかったのは、根管内の感染が十分に除去できておらず、そこから感染が漏れてきていることが考えられました。下顎第二小臼歯と下顎第一大臼歯の近心根と遠心根の根の先の膿はかなり大きいのですが、根管内の感染を隅々まで除去することで膿が改善する可能性がありますので、当医院での精密再根管治療を行うことになりました。
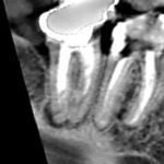
下顎第二小臼歯と下顎第一大臼歯の矢状断のCT画像です。
赤い矢印の先は下顎第二小臼歯と下顎第一大臼歯の近心根の両方の根にまたがる膿の影です。根の先が平で、外科手術により根の先を切断したようにみえます。青い矢印の先に下顎第一大臼歯の遠心根にできた膿の影がみられますが、こちらは切断されているようには見えませんでした。
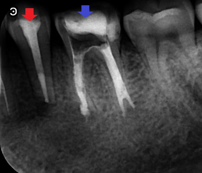
膿の改善をはかるべく、下顎第二小臼歯と下顎第一大臼歯の精密再根管治療を行いました。画像は、根管充填のレントゲン画像です。根管充填はMTAセメントを用いて行いました。下顎第二小臼歯と下顎第一大臼歯共に根の先までしっかり根管充填できています。特に下顎第一大臼歯の近心根と遠心根は、それぞれの根に2本ずつ根管があり、2本の根管を結ぶ通路であるイスムスを除去し根管の隅々まで感染が残らないように留意しました。
精密根管治療1年後の経過観察時の矢状断のCT画像です。赤い矢印先にあった下顎第二小臼歯と下顎第一大臼歯の近心根の両方の根にまたがるほど大きかった膿の影は消え、歯槽骨が再生しています。また、青い矢印の先にあった下顎第一大臼歯の遠心根の膿の影も消え歯槽骨が再生しています。
本ケースは、精密再根管治療のみで膿が改善しました。外科的歯内療法で治らなかった理由はやはり根管の感染除去が十分でなかったことだと思われます。逆に、精密根管治療をしていれば外科手術に至らなかった可能性も高いです。
また、外科的歯内療法で治らなかった膿は精密再根管治療で治りやすいことも分かっています。外科的歯内療法が失敗しても抜歯をせずに精密根管治療をトライすることをお勧めします。
《根管治療の主な副作用》
ラバーダム防湿が必要になり、開口時間が長くなります。歯科用顕微鏡による精密根管治療は、肉眼や拡大鏡では見えないところ(治療が不十分であった部分)が見えるようになるため、なすべき治療が増えるので治療時間や治療日数がかかります。
《治療期間》
おおよそ、3〜5日(1回1時間の目算です。)
《治療費》
精密根管治療費(消費税込み):前歯132,000円、小臼歯154,000円、大臼歯 176,000円
>>より詳しい情報は、当院の根管治療ページでご案内しておりますので、あわせてご覧ください。
全国で11名の歯科医師のみ、
日本で最も厳しい顕微鏡歯科基準をクリア
顕微鏡歯科ネットワークジャパン認定医・日本顕微鏡歯科学会認定医
根管治療・顕微鏡歯科治療専門 歯科医岡野 眞






