歯科用CTスキャンは根管治療の診断に必須
        記事概要
歯科医療においては、X線検査に用いられるレントゲン撮影機器の普及率は高く、ほぼ100%の歯科医院で設置されていますが、歯科用CTスキャンの導入は普及していません。設置コストの問題もあるため、レントゲン機器ほどの普及率は無いのが現状です。しかし、歯科医療においても診断には、歯科用CTスキャンは必須です。特に根管治療の診断には欠かせないものとなっています。本コラムでは歯科医療におけるCTスキャンの重要性についてまとめました。
1診査・診断にかかせないX線検査
診査・診断でかかせない検査である、体の内部を透視して病気の診断の扶助になるX線検査(レントゲン撮影検査)。X線検査は、目視で確認できない体内の状況を把握するのに非常に重要な役割を果たします。
なぜなら、(目視できない)体の中で問題が起こっていた場合、正しくその状況を把握できなければ、正しい診断はでできず、適切な治療に結びつかなくなるからです。
当然のことながら、歯科医療においては、X線検査に用いられるレントゲン撮影機器の普及率は高く、ほぼ100%の歯科医院で設置されていると考えていいでしょう。
ここで、X線検査について少しだけ詳しく説明いたします。
X線検査には、フイルム(撮影)とデジタル画像(撮影)によるものがあります。デジタル画像(撮影)の場合、フィルム撮影と異なり、コンピューターで処理することができますので、撮影した画像をパソコンで拡大して詳しく診たり、コントラストを変えるなどして、より診やすくすることが可能です。
しかしながら、X線検査(レントゲン撮影検査)は、一つの方向からX線を放射して画像を得る方法です。X線を放射した先の物が全て映り込みますが、密度の高い物(X線透過性の低い物)が重なると、診たい被写体が不鮮明になることもあります。
そこで、最近、歯科医療の分野でも注目されているのが、歯科用CTスキャンです。しかし、歯科でも増えつつある機材ではありますが、設置コストの問題もあるため、レントゲン機器ほどの普及率は無いのが現状です。
2根管治療を成功に導くためには、CTスキャンは不可欠
それでは、簡単にCTスキャンについてお話したいと思います。
CT(コンピュータ断層撮影)は、Computerized Tomography の略で、コンピューターによるX線断層撮影法のことを言います。
前述した通り、レントゲン撮影は一方向から見た画像ですが、CTは患部を輪切りにして診ることができたり、様々な方向から患部を診る事ができます。
レントゲンと違い、重なった画像にならないので、診たい場所の画像をピンポイントで取り出して見ることができるのです。
そのため、CTスキャンは、歯科の分野でも、むし歯・歯周病・根管治療・インプラント・顎関節・腫瘍など、様々な疾患の診断に有効です。
特に根管治療においては、CTスキャン画像は、診断の精度を飛躍的に高めてくれます。重症化しないとレントゲン画像では映らない早期の病巣も、CTスキャン画像では、早い段階で見えてきます。また、レントゲン画像では見えない根管を確認できたりしますので、根管治療の成功率を向上させるのにCTスキャン画像は大きく貢献するのです。
根管(歯の神経の通り道)は、歯根の中で複雑に枝分かれしたり、色々な方向へ湾曲していることが多いです。また、根管が石灰沈着により、根管がマイクロスコープでも見えないくらい細くなってしまっていたり、さらに、石灰沈着が進み完全に根管が塞がっていたりと、根管は単純でなく根管治療は困難を極めることも多いです。
根管治療を成功させるためには、この複雑な根管にある歯髄組織や細菌による根管の汚染を除去しなければならないのです。
たとえデジタル画像で撮影したレントゲン画像であっても、それだけでは、正しい根管形態や病巣の有無すら判断するのは難しく、さらに、立体的な歯根と根管の形態、根尖病巣の有無や大きさを精確に判定する事は不可能です。根管治療の成功は、もはやCTスキャン無しでは不可能と言っても過言ではありません。
3根管治療におけるCTスキャン画像の役割
このように、CTスキャンは、根管治療には欠かせない検査の一つではありますが、特に再根管治療(根管治療のやり直し)において、その力を発揮します。
再根管治療の際には、感染してしまった根管を、確実に清掃・殺菌することが重要になります。
しかし、先ほどお話したとおり、根管は湾曲していたり、歯根の中で複雑に枝分かれしていることも多く、確実な消毒が難しいのです。
たとえ、マイクロスコープ(歯科用顕微鏡)で根管の入り口から根管内をのぞき込んでも、その先が曲がっているのか、枝分かれしているのか、根管の入り口が塞がってその先に未治療の根管が隠れているのか、歯が薄く穴が開きそうなところはないかなど、わからないことが多く、意図しない治療不足や治療過誤を招く可能性もあります。
そこで、CTスキャンの画像を確認しながら治療するのです。
CTスキャン画像を確認し、根管の状態をイメージしながら治療することで、格段に根管治療の成功率があがります。
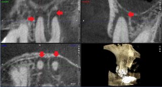
それでは、実際のCTスキャン画像をみながら説明いたします。以下は、根管治療時のCTスキャン画像です。左のレントゲン画像の歯のCT画像が右にあります。レントゲン画像では確認できなかった根尖病巣の黒い影(赤い矢印の先の影)が、いずれもはっきり確認できます。
下のCT画像では、根管治療で見落とされているらしい根管(赤い矢印のところ)が確認できます。白い線状のものは根管の蓋、赤い矢印の先の黒い線状のものは根管に蓋がされていない状態です。根尖病巣(歯根をとり囲む影)の原因は、赤い矢印のところの未治療の根管の細菌感染が原因と思われます。

根管が曲がっているとマイクロスコープ(歯科用顕微鏡)では、どんなに拡大しても入口しか見えません。そのため、その先がどうなっているかはわかりません。
特に、石灰化と言って根管が塞がっている場合には根管治療の器具も入らず、その先に隠れている感染している根管を見落とすこともあります。要は、顕微鏡を使っても見えない場所があるということです。だからこそ、CTスキャンでの事前の診断が必要なのです。
そのため岡野歯科医院は最新の歯科用CTスキャンを導入し、全ての根管治療(歯の神経の治療)において画像診断し、根管治療の成功率を高めています。
4CTスキャンの被曝量とメリット
それでは、全ての歯科治療でCTスキャン撮影すればいいじゃないか、と思われるかもしれませんが、必ずしもCT撮影をするとはかぎりません。なぜなら、CT撮影の被曝量についても考慮しなければならないからです。
CTスキャン撮影は、レントゲン撮影よりも被曝量が多いです。そのため、むやみやたらにCTスキャン撮影をするのではなく、必要な処置のみに限定するのがベストなのです。『何でもCTスキャン撮影』というのはお勧めしません。
これだけ言うと、CTスキャン撮影は被曝量が大きいから心配、と不安になるかもしれません。
もちろん、必要以上に歯科用CTによる被曝を怖がる必要もありません。下記の被曝量比較の図を御覧ください。歯のレントゲン撮影よりは、多少被曝量が多いですが、歯科用のCTは、東京⇔ニューヨークの往復で浴びる放射線量よりも、ずっとずっと少ないのが分かります。必要以上に怖がる必要はありません。それよりも、CTスキャンでなければ見えないものがあるという事を理解していただく方が、お身体の健康にとっては重要です。

CTスキャン撮影画像の最大のメリットはX線撮影(レントゲン)画像では映らず、問題が無いと診断された歯でも、CTスキャン画像では膿の影や根管の複雑さなどの問題を確認する事ができるということです。
つまり、X線撮影(レントゲン)画像だけでは、見過ごしてしまう可能性があるので、当医院では根管治療(歯の神経の治療)において、必ず、CTスキャン画像で確認をしています。
被曝を避けるあまり、それによって適切な処置がなされないと、残せる歯も残せなくなるかもしれません。
歯科用CTスキャンによる診断に加え、マイクロスコープ(歯科用顕微鏡)による拡大治療、そして高度な根管治療技術。これらが、三位一体になることにより更に高い治療成功率を目指すことができます。
現在、CTスキャンをインプラント治療の施術目的で導入する医院がほとんどですが、岡野歯科医院は根管治療(歯の保存治療)のためにCTスキャンを導入しました。
当医院ではCTスキャンによる診断が、根管治療には欠かせないものになってしまいました。今後も、入れ歯、ブリッジ、インプラント治療を安易には選択せず、残せそうな歯は残す、ご自身の歯を使えるところまで使っていく保存治療を当医院は信念としていきます。
関連ページ
- 根管治療について詳しくはこちら GO
 
5当院の根管治療成功率
日本の根管治療の成功率は30〜50%(失敗率は50〜70%)であり、残念ながら世界的にも決して誇れるものではないという学術データが出ています。世界の成功率に届き、更に超えることを目指すべきと考え、日々診療をしています。
当院の根管治療(非外科的歯内療法)の成功率は96.1%であり、必要に応じて外科的歯内療法(外科手術)を併用した場合には成功率が98.7%に向上します。外科的歯内療法は通常、非外科的歯内療法で治癒しなかったケースに行われますが、当院では非外科的歯内療法で治癒に導けることが多く、外科的歯内療法を必要としないことがほとんどです。さらに、根管治療または外科的歯内療法で膿が治った後には、膿が再発するケースは、ほぼ100%ありません。(術者がベストを尽くしても患者側の生体反応の違いにより、治療の成功率は100%と言い切ることはできませんが、当院では、ほぼ100%に近い成功率を出しています。)
更に当院では、根管治療が成功した状態を維持するために、根管治療後に入れる被せ物も高精度に製作し、細菌の根管への再感染を(コロナルリーケージ)を防ぎます。
根管治療のみならず、根管治療後の被せ物治療も顕微鏡を使って責任をもって作成することにより、予後の良い状態を保つことができています。これらは、当医院の15年間の顕微鏡治療の結果によっても証明されています。
                
                全国で11名の歯科医師のみ、
                        日本で最も厳しい顕微鏡歯科基準をクリア
                顕微鏡歯科ネットワークジャパン認定医・日本顕微鏡歯科学会認定医
根管治療・顕微鏡歯科治療専門 歯科医岡野 眞














